• Tel: 858.663.9055
  • SeparatorEmail: info@nsjbio.com
  • Tel: 858.663.9055
  • Email: info@nsjbio.com
Home >> Antibodies >> GRHL2 Antibody / Grainyhead-like protein 2 homolog

GRHL2 Antibody / Grainyhead-like protein 2 homolog (RQ6879)

  Catalog No Formulation Size Price (USD)  
Image RQ6879 0.5mg/ml if reconstituted with 0.2ml sterile DI water 100 ug 439
Bulk quote request
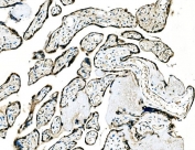
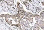
IHC staining of FFPE human stomach cancer tissue with GRHL2 antibody. HIER: boil tissue sections in pH8 EDTA for 20 min and allow to cool before testing.
IHC staining of FFPE human placental tissue with GRHL2 antibody. HIER: boil tissue sections in pH8 EDTA for 20 min and allow to cool before testing.
IHC staining of FFPE human adenocarcinoma of the right colon with GRHL2 antibody. HIER: boil tissue sections in pH8 EDTA for 20 min and allow to cool before testing.
IHC staining of FFPE human breast cancer tissue with GRHL2 antibody. HIER: boil tissue sections in pH8 EDTA for 20 min and allow to cool before testing.
Immunofluorescent staining of FFPE human A431 cells with GRHL2 antibody (green) and DAPI nuclear stain (blue). HIER: steam section in pH6 citrate buffer for 20 min.
Western blot testing of human 1) T-47D, 2) RT-4, 3) HaCat and 4) MCF7 cell lysate with GRHL2 antibody. Predicted molecular weight ~71 kDa.
Flow cytometry testing of human MCF7 cells with GRHL2 antibody at 1ug/million cells (blocked with goat sera); Red=cells alone, Green=isotype control, Blue= GRHL2 antibody.
Flow cytometry testing of human Caco-2 cells with GRHL2 antibody at 1ug/million cells (blocked with goat sera); Red=cells alone, Green=isotype control, Blue= GRHL2 antibody.
Availability 1-3 business days
Species Reactivity Human
Format Antigen affinity purified
Clonality Polyclonal (rabbit origin)
Isotype Rabbit IgG
Purity Antigen affinity purified
Buffer Lyophilized from 1X PBS with 2% Trehalose
UniProt Q6ISB3
Localization Cytoplasmic, nuclear
Applications Western Blot : 1-2ug/ml
Immunohistochemistry (FFPE) : 2-5ug/ml
Immunofluorescence (FFPE) : 5ug/ml
Flow Cytometry : 1-3ug/million cells
Direct ELISA : 0.1-0.5ug/ml
Limitations This GRHL2 antibody is available for research use only.
Review this product on BioCompare and get a $20 Amazon gift card

Description

The protein encoded by this gene is a transcription factor that can act as a homodimer or as a heterodimer with either GRHL1 or GRHL3. Defects in this gene are a cause of non-syndromic sensorineural deafness autosomal dominant type 28 (DFNA28).

Application Notes

Optimal dilution of the GRHL2 antibody should be determined by the researcher.

Immunogen

Recombinant human protein (amino acids M1-I625) was used as the immunogen for the GRHL2 antibody.

Storage

After reconstitution, the GRHL2 antibody can be stored for up to one month at 4oC. For long-term, aliquot and store at -20oC. Avoid repeated freezing and thawing.

Cross
Bulk Quote Request Form
Name*:
Organization*:
Email*:
Phone Number*:
Catalog No.*:
Comments and Specifics(amount, formulation, etc.)*:
Validation code: Captchapackage Image


Can't read the image? click here to refresh.
    *required field

Your bulk quote request has been submitted successfully!

Please contact us if you have any questions.