• Tel: 858.663.9055
  • SeparatorEmail: info@nsjbio.com
  • Tel: 858.663.9055
  • Email: info@nsjbio.com
Home >> Antibodies >> GRB7 Antibody

GRB7 Antibody (R30667)

  Catalog No Formulation Size Price (USD)  
Image R30667 0.5mg/ml if reconstituted with 0.2ml sterile DI water 100 ug 439
Bulk quote request
Western blot testing of GRB7 antibody and Lane 1: rat testis; 2: SMMC-7721; 3: HeLa; 4: A549; 5: SW620; Predicted/observed molecular weight: 60kDa.
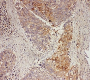
IHC-P: GRB7 antibody testing of human oesophagus squama cancer tissue
Availability 1-3 business days
Species Reactivity Human, Mouse, Rat
Format Antigen affinity purified
Clonality Polyclonal (rabbit origin)
Isotype Rabbit IgG
Purity Antigen affinity
Buffer Lyophilized from 1X PBS with 2.5% BSA and 0.025% sodium azide/thimerosal
UniProt Q14451
Applications Western Blot : 0.5-1ug/ml
IHC (FFPE) : 0.5-1ug/ml
Limitations This GRB7 antibody is available for research use only.
Review this product on BioCompare and get a $20 Amazon gift card

Related Products

  • Applications : WB, ELISA (peptide)
    Reactivity : Human
  • Applications : WB, FACS, Direct ELISA
    Reactivity : Human, Mouse

Description

Growth factor receptor-bound protein 7 is a protein which in humans is encoded by the GRB7 gene. The product of this gene belongs to a small family of adaptor proteins that are known to interact with a number of receptor tyrosine kinases and signaling molecules. This gene encodes a growth factor receptor-binding protein that interacts with epidermal growth factor receptor (EGFR) and ephrin receptors. The protein plays a role in the integrin signaling pathway and cell migration by binding with focal adhesion kinase (FAK). Alternative splicing results in multiple transcript variants encoding different isoforms, although the full-length natures of only two of the variants have been determined to date. GRB7 is an SH2-domain adaptor protein that binds to receptor tyrosine kinases and provides the intra-cellular direct link to the Ras proto-oncogene. Human GRB7 is located on the long arm of chromosome 17, next to the ERBB2 (alias HER2/neu) proto-oncogene. These two genes are commonly co-amplified (present in excess copies) in breast cancers. GRB7 is thought to be involved in migration, is well known to be over-expressed in testicular germ cell tumors, esophageal cancers, and gastric cancers.

Application Notes

The stated application concentrations are suggested starting amounts. Titration of the GRB7 antibody may be required due to differences in protocols and secondary/substrate sensitivity.

Immunogen

An amino acid sequence from the middle region of human GRB7 (ARHVCEMLVQRAHALSDE) was used as the immunogen for this GRB7 antibody (100% homologous in human, mouse and rat).

Storage

After reconstitution, the GRB7 antibody can be stored for up to one month at 4oC. For long-term, aliquot and store at -20oC. Avoid repeated freezing and thawing.

Cross
Bulk Quote Request Form
Name*:
Organization*:
Email*:
Phone Number*:
Catalog No.*:
Comments and Specifics(amount, formulation, etc.)*:
Validation code: Captchapackage Image


Can't read the image? click here to refresh.
    *required field

Your bulk quote request has been submitted successfully!

Please contact us if you have any questions.