• Tel: 858.663.9055
  • SeparatorEmail: info@nsjbio.com
  • Tel: 858.663.9055
  • Email: info@nsjbio.com
Home >> Antibodies >> GRB2 Antibody

GRB2 Antibody (R35139)

  Catalog No Formulation Size Price (USD)  
Image R35139-100UG 0.5 mg/ml in 1X TBS, pH7.3, with 0.5% BSA (US sourced) and 0.02% sodium azide 100 ug 449
Bulk quote request
Western blot of human thymus (A) and MOLT4 (B) lysates with GRB2 antibody at 0.05ug/ml. Predicted molecular weight ~25kDa.
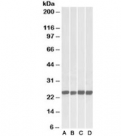
Western blot testing of A) mouse brain, B) rat brain, C) mouse spleen and D) rat splen lysate with GRB2 antibody at 0.05ug/ml.
Western blot of human (A) and pig (B) spleen lysates with GRB2 antibody at 0.03ug/ml.
IHC staining of FFPE human tonsil with GRB2 antibody at 0.3ug/ml. HIER: microwaved with pH6 citrate buffer, HRP-staining.
Availability 1-3 business days
Species Reactivity Human, Mouse, Rat, Pig
Predicted Reactivity Cow, Dog
Format Antigen affinity purified
Clonality Polyclonal (goat origin)
Isotype Goat Ig
Purity Antigen affinity
Gene ID 2885
Applications Western Blot : 0.05-0.15ug/ml
Immunohistochemistry (FFPE) : suitable
ELISA (peptide) LOD : 1:32000
Limitations This GRB2 antibody is available for research use only.
Review this product on BioCompare and get a $20 Amazon gift card

Related Products

Description

Additional name(s) for this target protein: Growth factor receptor-bound protein 2

Application Notes

Optimal dilution of the GRB2 antibody should be determined by the researcher.

Immunogen

Amino acids PRNYVTPVNRNV were used as the immunogen for this GRB2 antibody.

Storage

Aliquot and store the GRB2 antibody at -20oC.

Cross
Bulk Quote Request Form
Name*:
Organization*:
Email*:
Phone Number*:
Catalog No.*:
Comments and Specifics(amount, formulation, etc.)*:
Validation code: Captchapackage Image


Can't read the image? click here to refresh.
    *required field

Your bulk quote request has been submitted successfully!

Please contact us if you have any questions.