• Tel: 858.663.9055
  • SeparatorEmail: info@nsjbio.com
  • Tel: 858.663.9055
  • Email: info@nsjbio.com
Home >> Antibodies >> GRB10 Antibody

GRB10 Antibody (RQ5730)

  Catalog No Formulation Size Price (USD)  
Image RQ5730 0.5mg/ml if reconstituted with 0.2ml sterile DI water 100 ug 439
Bulk quote request
Western blot testing of 1) human HEK293, 2) HeLa, 3) rat kidney and 4) mouse kidney lysate with GRB10 antibody. Expected molecular weight: 58-70 kDa.
Western blot testing of human 1) human HeLa, 2) human HepG2, 3) human 293T, 4) monkey COS-7, 5) human K562, 6) human U-87 MG, 7) human HEL, 8) rat liver, 9) rat brain, 10) mouse liver and 11) mouse brain tissue lysate with GRB10 antibody. Expected molecular weight: 58-70 kDa.
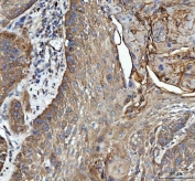
IHC staining of FFPE human liver cancer tissue with GRB10 antibody. HIER: boil tissue sections in pH8 EDTA for 20 min and allow to cool before testing.
IHC staining of FFPE human colorectal adenocarcinoma tissue with GRB10 antibody. HIER: boil tissue sections in pH8 EDTA for 20 min and allow to cool before testing.
IHC staining of FFPE human laryngeal squamous cell carcinoma tissue with GRB10 antibody. HIER: boil tissue sections in pH8 EDTA for 20 min and allow to cool before testing.
IHC staining of FFPE mouse brain tissue with GRB10 antibody. HIER: boil tissue sections in pH8 EDTA for 20 min and allow to cool before testing.
Flow cytometry testing of fixed and permeabilized human U-87 MG cells with GRB10 antibody at 1ug/million cells (blocked with goat sera); Red=cells alone, Green=isotype control, Blue= GRB10 antibody.
Availability 1-3 business days
Species Reactivity Human, Mouse, Rat
Format Antigen affinity purified
Clonality Polyclonal (rabbit origin)
Isotype Rabbit IgG
Purity Affinity purified
Buffer Lyophilized from 1X PBS with 2% Trehalose
UniProt Q13322
Localization Cytoplasmic
Applications Western Blot : 0.5-1ug/ml
Immunohistochemistry : 2-5ug/ml
Flow Cytometry : 1-3ug/million cells
Direct ELISA : 0.1-0.5ug/ml
Limitations This GRB10 antibody is available for research use only.
Review this product on BioCompare and get a $20 Amazon gift card

Related Products

  • Applications : WB, FACS
    Reactivity : Human, Monkey, Rat
  • Applications : WB, ELISA (peptide)
    Reactivity : Human
  • Applications : WB, IHC-P, FACS, Direct ELISA
    Reactivity : Mouse, Rat

Description

GRB10, Growth factor receptor-bound protein 10, also known as insulin receptor-binding protein Grb-IR is a protein that in humans is encoded by the GRB10 gene. The product of this gene belongs to a small family of adapter proteins that are known to interact with a number of receptor tyrosine kinases and signaling molecules. This gene encodes a growth factor receptor-binding protein that interacts with insulin receptors and insulin-like growth-factor receptors(e.g., IGF1R and IGF2R). Overexpression of some isoforms of the encoded protein inhibits tyrosine kinase activity and results in growth suppression. This gene is imprinted in a highly isoform- and tissue-specific manner. Alternatively spliced transcript variants encoding different isoforms have been identified.

Application Notes

Optimal dilution of the GRB10 antibody should be determined by the researcher.

Immunogen

Recombinant human protein (amino acids M1-K251) was used as the immunogen for the GRB10 antibody.

Storage

After reconstitution, the GRB10 antibody can be stored for up to one month at 4oC. For long-term, aliquot and store at -20oC. Avoid repeated freezing and thawing.

Cross
Bulk Quote Request Form
Name*:
Organization*:
Email*:
Phone Number*:
Catalog No.*:
Comments and Specifics(amount, formulation, etc.)*:
Validation code: Captchapackage Image


Can't read the image? click here to refresh.
    *required field

Your bulk quote request has been submitted successfully!

Please contact us if you have any questions.