• Tel: 858.663.9055
  • SeparatorEmail: info@nsjbio.com
  • Tel: 858.663.9055
  • Email: info@nsjbio.com
Home >> Antibodies >> Granzyme B Antibody

Granzyme B Antibody [clone GZMB/3014] (V8027BTN)

  Catalog No Formulation Size Price (USD)  
Image V8027BTN 0.1 mg/ml with 0.1 mg/ml BSA (US sourced), 0.05% sodium azide 500 ul 539
Microvalidated
Bulk quote request
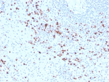
IHC staining of FFPE human spleen with biotinylated Granzyme B antibody (clone GZMB/3014). HIER: boil tissue sections in pH 9 10mM Tris with 1mM EDTA for 10-20 min and allow to cool before testing.
IHC staining of FFPE human spleen with biotinylated Granzyme B antibody (clone GZMB/3014). HIER: boil tissue sections in pH 9 10mM Tris with 1mM EDTA for 10-20 min and allow to cool before testing.
Analysis of HuProt(TM) microarray containing more than 19,000 full-length human proteins using Granzyme B antibody (clone GZMB/3014). These results demonstrate the foremost specificity of the GZMB/3014 mAb. Z- and S- score: The Z-score represents the strength of a signal that an antibody (in combination with a fluorescently-tagged anti-IgG secondary Ab) produces when binding to a particular protein on the HuProt(TM) array. Z-scores are described in units of standard deviations (SD's) above the mean value of all signals generated on that array. If the targets on the HuProt(TM) are arranged in descending order of the Z-score, the S-score is the difference (also in units of SD's) between the Z-scores. The S-score therefore represents the relative target specificity of an Ab to its intended target.
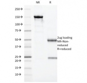
SDS-PAGE analysis of purified, BSA-free Granzyme B antibody (clone GZMB/3014) as confirmation of integrity and purity.
Availability 1-3 business days
Species Reactivity Human
Format Biotin Conjugate
Clonality Monoclonal (mouse origin)
Isotype Mouse IgG2b, kappa
Clone Name GZMB/3014
Purity Protein G affinity chromatography
UniProt P10144
Localization Cytoplasmic
Applications Western Blot : 2-4ug/ml
Immunohistochemistry (FFPE) : 2-4ug/ml for 30 minutes at RT
Limitations This Granzyme B antibody is available for research use only.
Review this product on BioCompare and get a $20 Amazon gift card

Related Products

Description

Granzyme B is a member of the granule serine protease family stored specifically in NK cells or cytotoxic T cells. Cytolytic T lymphocytes (CTL) and natural killer (NK) cells share the ability to recognize, bind, and lyse specific target cells. They are thought to protect their host by lysing cells bearing on their surface s Disease.

Application Notes

Optimal dilution of the Granzyme B antibody should be determined by the researcher.

Immunogen

A portion of amino acids 73-187 from the human protein was used as the immunogen for the Granzyme B antibody.

Storage

Store the Granzyme B antibody at 2-8oC (up to one month) or aliquot and store at -20oC (longer term).

Cross
Bulk Quote Request Form
Name*:
Organization*:
Email*:
Phone Number*:
Catalog No.*:
Comments and Specifics(amount, formulation, etc.)*:
Validation code: Captchapackage Image


Can't read the image? click here to refresh.
    *required field

Your bulk quote request has been submitted successfully!

Please contact us if you have any questions.