• Tel: 858.663.9055
  • SeparatorEmail: info@nsjbio.com
  • Tel: 858.663.9055
  • Email: info@nsjbio.com
Home >> Antibodies >> GPX4 Antibody / Glutathione Peroxidase 4

GPX4 Antibody / Glutathione Peroxidase 4 (RQ8921)

  Catalog No Formulation Size Price (USD)  
Image RQ8921 0.5mg/ml if reconstituted with 0.2ml sterile DI water 100 ug 439
Bulk quote request
IHC staining of FFPE mouse testis tissue with GPX4 antibody, HRP-secondary and DAB substrate. HIER: boil tissue sections in pH8 EDTA for 20 min and allow to cool before testing.
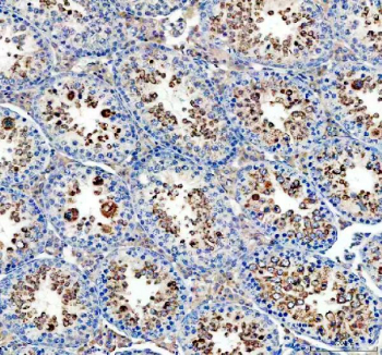
IHC staining of FFPE human testis tissue with GPX4 antibody, HRP-secondary and DAB substrate. HIER: boil tissue sections in pH8 EDTA for 20 min and allow to cool before testing.
Western blot testing of 1) human HepG2, 2) human MCF7, 3) human RT4, 4) monkey COS7, 5) rat kidney, 6) mouse testis and 7) mouse kidney tissue lysate with GPX4 antibody. Predicted molecular weight ~22 kDa.
Immunoprecipitation of GPX4 protein from 500ug of human HCT-116 whole cell lysate with 2ug of GPX4 antibody.
Flow cytometry testing of fixed and permeabilized human ThP-1 cells with GPX4 antibody at 1ug/million cells (blocked with goat sera); Red=cells alone, Green=isotype control, Blue= GPX4 antibody.
Availability 1-3 business days
Species Reactivity Human, Mouse, Rat, Monkey
Format Antigen affinity purified
Clonality Polyclonal (rabbit origin)
Isotype Rabbit IgG
Purity Antigen affinity
Buffer Lyophilized from 1X PBS with 2% Trehalose
UniProt P36969
Localization Nuclear, cytoplasmic, membrane
Applications Western Blot : 0.5-1ug/ml
Immunohistochemistry (FFPE) : 2-5ug/ml
Flow Cytometry : 1-3ug/million cells
Immunoprecipitation : 2ug per 500ug of lysate
Limitations This GPX4 antibody is available for research use only.
Review this product on BioCompare and get a $20 Amazon gift card

Related Products

Description

GPX4 (Glutathione Peroxidase 4) is a selenoprotein that protects cells against oxidative damage by reducing lipid hydroperoxides to their corresponding alcohols. It plays a central role in maintaining membrane integrity and preventing lipid peroxidation. Researchers frequently use a GPX4 antibody to study oxidative stress responses and redox regulation.

Unlike other glutathione peroxidases, GPX4 can directly reduce complex lipid hydroperoxides within membranes and lipoproteins, making it essential for cellular homeostasis. It has a critical role in ferroptosis, a form of regulated cell death driven by iron-dependent lipid peroxidation. Employing a GPX4 antibody enables the investigation of its unique function in cell survival and death pathways.

NSJ Bioreagents provides a high-quality GPX4 antibody validated for applications including western blot, immunohistochemistry, and immunofluorescence. Using a GPX4 antibody ensures reproducible and sensitive detection in studies of oxidative stress, ferroptosis, and disease mechanisms.

Application Notes

Optimal dilution of the GPX4 antibody should be determined by the researcher.

Immunogen

Amino acids A30-F197 of human Glutathione Peroxidase 4 were used as the immunogen for the GPX4 antibody.

Storage

After reconstitution, the GPX4 antibody can be stored for up to one month at 4oC. For long-term, aliquot and store at -20oC. Avoid repeated freezing and thawing.

Cross
Bulk Quote Request Form
Name*:
Organization*:
Email*:
Phone Number*:
Catalog No.*:
Comments and Specifics(amount, formulation, etc.)*:
Validation code: Captchapackage Image


Can't read the image? click here to refresh.
    *required field

Your bulk quote request has been submitted successfully!

Please contact us if you have any questions.