• Tel: 858.663.9055
  • SeparatorEmail: info@nsjbio.com
  • Tel: 858.663.9055
  • Email: info@nsjbio.com
Home >> Antibodies >> GPRC5A Antibody / G-protein coupled receptor family C group 5 member A

GPRC5A Antibody / G-protein coupled receptor family C group 5 member A (FY12976)

  Catalog No Formulation Size Price (USD)  
Image FY12976 Adding 0.2 ml of distilled water will yield a concentration of 500 ug/ml 100 ug 439
Bulk quote request
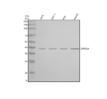
Western blot analysis of RAI3/GPRC5A using anti-GPRC5A antibody. Electrophoresis was performed on a 10% SDS-PAGE gel at 80V (Stacking gel) / 120V (Resolving gel) for 2 hours. Lane 1: human whole cell lysates, Lane 2: human MCF-7 whole cell lysates, Lane 3: human Hela whole cell lysates, Lane 4: human HepG2 whole cell lysates. After electrophoresis, proteins were transferred to a nitrocellulose membrane at 150 mA for 50-90 minutes. Blocked the membrane with 5% non-fat milk/TBS for 1.5 hour at RT. The membrane was incubated with rabbit anti-GPRC5A antibody at 0.5 ug/ml overnight at 4oC, then washed with TBS-0.1%Tween 3 times with 5 minutes each and probed with a goat anti-rabbit IgG-HRP secondary antibody at a dilution of 1:5000 for 1.5 hour at RT. The signal was developed using an ECL Plus Western Blotting Substrate. A specific band was detected for RAI3/GPRC5A at approximately 40 kDa. The expected molecular weight of RAI3/GPRC5A is at 40 kDa.
Availability 1-2 days
Species Reactivity Human
Format Lyophilized
Clonality Polyclonal (rabbit origin)
Isotype Rabbit IgG
Purity Immunogen affinity purified
Buffer Each vial contains 4 mg Trehalose, 0.9 mg NaCl, 0.2 mg Na2HPO4.
UniProt Q8NFJ5
Applications Western Blot : 0.25-0.5ug/ml
Limitations This GPRC5A antibody is available for research use only.
Review this product on BioCompare and get a $20 Amazon gift card

Related Products

Description

GPRC5A antibody detects G-protein coupled receptor family C group 5 member A, a retinoic acid-inducible orphan receptor involved in epithelial differentiation, inflammation, and tumor suppression. The UniProt recommended name is G-protein coupled receptor family C group 5 member A (GPRC5A), also known as retinoic acid-induced protein 3 (RAI3). This membrane receptor belongs to the class C GPCR family but lacks a known endogenous ligand, functioning primarily as a signaling modulator in epithelial cells.

Functionally, GPRC5A antibody identifies a 358-amino-acid transmembrane receptor localized to the plasma membrane and endosomal compartments. GPRC5A expression is strongly induced by retinoic acid and contributes to maintaining epithelial integrity and differentiation. It modulates multiple signaling pathways including EGFR, STAT3, and NF-kappaB, thereby influencing cell growth, polarity, and immune responses. Through its regulatory functions, GPRC5A acts as a context-dependent tumor suppressor in lung, pancreatic, and colorectal tissues.

The GPRC5A gene is located on chromosome 12p13.1 and is highly expressed in lung epithelium, gastrointestinal tract, and pancreas. In normal tissues, GPRC5A helps maintain epithelial homeostasis by dampening inflammatory and growth-promoting signals. Loss of GPRC5A expression has been implicated in lung adenocarcinoma and other epithelial cancers, where its absence leads to hyperactivation of EGFR and STAT3 pathways. Conversely, aberrant overexpression in certain cancers may promote proliferation and resistance to apoptosis.

In cell signaling, GPRC5A interacts with adaptor proteins to modulate receptor internalization and trafficking. It influences the balance between pro-inflammatory and anti-inflammatory signaling, acting as a mediator of cytokine responses in epithelial cells. GPRC5A also participates in differentiation processes during lung development and regeneration following injury, making it a valuable marker for epithelial cell identity and repair mechanisms.

GPRC5A antibody is used extensively in cancer biology, signal transduction, and epithelial cell research. It is applicable for immunoblotting, immunohistochemistry, and flow cytometry to evaluate receptor expression patterns and localization. In oncology, GPRC5A serves as a biomarker for tumor progression and epithelial transformation. Its detection aids in understanding the cross-talk between retinoic acid signaling and oncogenic pathways.

Structurally, GPRC5A possesses seven transmembrane helices typical of GPCRs, with an extracellular N-terminus and intracellular C-terminal domain involved in signaling interactions. It lacks a known G-protein coupling profile, suggesting atypical regulatory mechanisms through scaffolding proteins. NSJ Bioreagents provides GPRC5A antibody reagents validated for research in GPCR biology, epithelial signaling, and cancer progression.

Application Notes

Optimal dilution of the GPRC5A antibody should be determined by the researcher.

Immunogen

A synthetic peptide corresponding to a sequence in the middle region of human RAI3/GPRC5A was used as the immunogen for the GPRC5A antibody.

Storage

After reconstitution, the GPRC5A antibody can be stored for up to one month at 4oC. For long-term, aliquot and store at -20oC. Avoid repeated freezing and thawing.

Cross
Bulk Quote Request Form
Name*:
Organization*:
Email*:
Phone Number*:
Catalog No.*:
Comments and Specifics(amount, formulation, etc.)*:
Validation code: Captchapackage Image


Can't read the image? click here to refresh.
    *required field

Your bulk quote request has been submitted successfully!

Please contact us if you have any questions.