• Tel: 858.663.9055
  • SeparatorEmail: info@nsjbio.com
  • Tel: 858.663.9055
  • Email: info@nsjbio.com
Home >> Antibodies >> GPM6A Antibody

GPM6A Antibody (R35492)

  Catalog No Formulation Size Price (USD)  
Image R35492-100UG 0.5 mg/ml in 1X TBS, pH7.3, with 0.5% BSA (US sourced) and 0.02% sodium azide 100 ug 449
Bulk quote request
Western blot testing of rat brain lysate with GPM6A antibody at 0.5ug/ml. Predicted molecular weight: ~32/80kDa (unmodified/glycosylated).
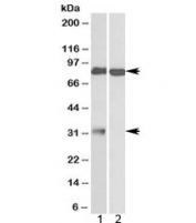
Western blot testing of human 1) cerebellum and 2) olfactory bulb lysate with GPM6A antibody at 1ug/ml. Predicted molecular weight: ~32/80kDa (unmodified/glycosylated).
Western blot testing of 1) fetal mouse brain and 2) rat brain lysate with GPM6A antibody at 2ug/ml. Predicted molecular weight: ~32/80kDa (unmodified/glycosylated).
Availability 1-3 business days
Species Reactivity Human, Mouse, Rat
Predicted Reactivity Dog
Format Antigen affinity purified
Clonality Polyclonal (goat origin)
Isotype Goat Ig
Purity Antigen affinity
Gene ID 2823
Applications Western Blot : 0.5-2ug/ml
ELISA (peptide) LOD : 1:32000
Limitations This GPM6A antibody is available for research use only.
Review this product on BioCompare and get a $20 Amazon gift card

Description

Additional name(s) for this target protein: Glycoprotein M6A

Application Notes

Optimal dilution of the GPM6A antibody should be determined by the researcher.

1. Not suitable for use in immunofluorescence.

Immunogen

Amino acids QTYFEMARTAGD were used as the immunogen for this GPM6A antibody.

Storage

Aliquot and store the GPM6A antibody at -20oC.

Cross
Bulk Quote Request Form
Name*:
Organization*:
Email*:
Phone Number*:
Catalog No.*:
Comments and Specifics(amount, formulation, etc.)*:
Validation code: Captchapackage Image


Can't read the image? click here to refresh.
    *required field

Your bulk quote request has been submitted successfully!

Please contact us if you have any questions.