• Tel: 858.663.9055
  • SeparatorEmail: info@nsjbio.com
  • Tel: 858.663.9055
  • Email: info@nsjbio.com
Home >> Antibodies >> gp91phox Antibody / NOX2

gp91phox Antibody / NOX2 (RQ6168)

  Catalog No Formulation Size Price (USD)  
Image RQ6168 0.5mg/ml if reconstituted with 0.2ml sterile DI water 100 ug 439
Bulk quote request
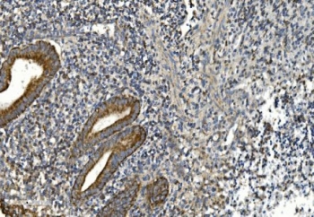
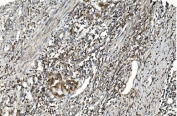
IHC staining of FFPE human appendicitis tissue with gp91phox antibody. HIER: boil tissue sections in pH8 EDTA for 20 min and allow to cool before testing.
IHC staining of FFPE human gastric cancer with gp91phox antibody. HIER: boil tissue sections in pH8 EDTA for 20 min and allow to cool before testing.
IHC staining of FFPE human bladder cancer with gp91phox antibody. HIER: boil tissue sections in pH8 EDTA for 20 min and allow to cool before testing.
IHC staining of FFPE human melanoma with gp91phox antibody. HIER: boil tissue sections in pH8 EDTA for 20 min and allow to cool before testing.
IHC staining of FFPE human testicular cancer with gp91phox antibody. HIER: boil tissue sections in pH8 EDTA for 20 min and allow to cool before testing.
Immunofluorescent staining of FFPE human A549 cells with gp91phox antibody (green) and DAPI nuclear stain (blue). HIER: steam section in pH6 citrate buffer for 20 min.
Western blot testing of human 1) HeLa, 2) HepG2 and 3) U937 cell lysate with gp91phox antibody. Predicted molecular weight ~65 kDa, can be observed at ~85 kDa.
Flow cytometry testing of human ThP-1 cells with gp91phox antibody at 1ug/million cells (blocked with goat sera); Red=cells alone, Green=isotype control, Blue= gp91phox antibody.
Availability 1-3 business days
Species Reactivity Human
Format Antigen affinity purified
Clonality Polyclonal (rabbit origin)
Isotype Rabbit IgG
Purity Affinity purified
Buffer Lyophilized from 1X PBS with 2% Trehalose and 0.0125% sodium azide
UniProt P04839
Localization Cytoplasmic
Applications Western Blot : 1-2ug/ml
Immunohistochemistry (FFPE) : 2-5ug/ml
Immunofluorescence : 5ug/ml
Flow Cytometry : 1-3ug/million cells
Direct ELISA : 0.1-0.5ug/ml
Limitations This gp91phox antibody is available for research use only.
Review this product on BioCompare and get a $20 Amazon gift card

Related Products

Description

NOX2 (NADPH OXIDASE 2), also called CYBB (CYTOCHROME b(-245), BETA SUBUNIT), p91-PHOX or GP91-1, is a human gene encoding a glycoprotein. NOX2 is an essential component of phagocytic NADPH-oxidase, a membrane-bound enzyme complex that generates large quantities of microbicidal superoxide and other oxidants upon activation. It is mapped on Xp11.4. NOX2 assembled on DC phagosomes in a gp91-phox subunit-dependent manner, and that reactive oxygen species were produced in a more sustained manner in immature DC phagosomes than in macrophage phagosomes. As a major player in innate immune responses in neutrophils, NOX2 is also involved in adaptive immunity through its activity in DCs. In heart cells, physiologic stretch rapidly activates reduced-form NOX2 to produce reactive oxygen species (ROS) in a process dependent on microtubules (X-ROS signaling).

Application Notes

Optimal dilution of the gp91phox antibody should be determined by the researcher.

Immunogen

A human recombinant partial protein (amino acids E124-R559) was used as the immunogen for the gp91phox antibody.

Storage

After reconstitution, the gp91phox antibody can be stored for up to one month at 4oC. For long-term, aliquot and store at -20oC. Avoid repeated freezing and thawing.

Cross
Bulk Quote Request Form
Name*:
Organization*:
Email*:
Phone Number*:
Catalog No.*:
Comments and Specifics(amount, formulation, etc.)*:
Validation code: Captchapackage Image


Can't read the image? click here to refresh.
    *required field

Your bulk quote request has been submitted successfully!

Please contact us if you have any questions.