• Tel: 858.663.9055
  • SeparatorEmail: info@nsjbio.com
  • Tel: 858.663.9055
  • Email: info@nsjbio.com
Home >> Antibodies >> GP135 Antibody / Contactin 1

GP135 Antibody / Contactin 1 (R35512)

  Catalog No Formulation Size Price (USD)  
Image R35512-100UG 0.5 mg/ml in 1X TBS, pH7.3, with 0.5% BSA (US sourced) and 0.02% sodium azide 100 ug 449
Bulk quote request
Western blot testing of human cerebellum lysate with GP135 antibody at 1ug/ml. Predicted molecular weight: ~113/135-150kDa (unmodified/glycosylated).
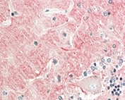
IHC staining of FFPE human cerebellum with GP135 antibody at 5ug/ml. HIER: steamed with pH6 citrate buffer, AP-staining.
IHC staining of FFPE mouse cerebral cortex with GP135 antibody at 5ug/ml. HIER: steamed with pH6 citrate buffer, AP-staining.
Western blot testing of 1) mouse brain and 2) rat brain lysate with GP135 antibody at 1ug/ml. Predicted molecular weight: ~113/135-150kDa (unmodified/glycosylated).
Availability 1-3 business days
Species Reactivity Human, Mouse, Rat
Predicted Reactivity Dog, Pig
Format Antigen affinity purified
Clonality Polyclonal (goat origin)
Isotype Goat Ig
Purity Antigen affinity
Gene ID 1272
Applications Western Blot : 1-3ug/ml
Immunohistochemistry (FFPE) : 5-10ug/ml
ELISA (peptide) LOD : 1:16000
Limitations This GP135 antibody is available for research use only.
Review this product on BioCompare and get a $20 Amazon gift card

Related Products

  • Applications : WB, ELISA (peptide)
    Reactivity : Human, Mouse, Rat, Pig
  • Applications : WB, IF, Direct ELISA
    Reactivity : Human, Mouse, Rat

Description

Additional name(s) for this target protein: Glycoprotein gp135, contactin 1, CNTN1

Application Notes

Optimal dilution of the GP135 antibody should be determined by the researcher.

1. This GP135 antibody is specific for isoforms 1 and 2.

Immunogen

Amino acids QVTSQEYSARLEN (internal region) were used as the immunogen for this Contactin 1 / GP135 antibody.

Storage

Aliquot and store the GP135 antibody at -20oC.

Cross
Bulk Quote Request Form
Name*:
Organization*:
Email*:
Phone Number*:
Catalog No.*:
Comments and Specifics(amount, formulation, etc.)*:
Validation code: Captchapackage Image


Can't read the image? click here to refresh.
    *required field

Your bulk quote request has been submitted successfully!

Please contact us if you have any questions.