• Tel: 858.663.9055
  • SeparatorEmail: info@nsjbio.com
  • Tel: 858.663.9055
  • Email: info@nsjbio.com
Home >> Antibodies >> GOLM1 Antibody / GOLPH2

GOLM1 Antibody / GOLPH2 (RQ6484)

  Catalog No Formulation Size Price (USD)  
Image RQ6484 0.5mg/ml if reconstituted with 0.2ml sterile DI water 100 ug 439
Bulk quote request
Immunofluorescent staining of FFPE human A431 cells with GOLM1 antibody (green) and DAPI nuclear stain (blue). HIER: steam section in pH6 citrate buffer for 20 min.
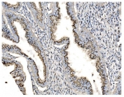
IHC staining of FFPE human cervical intraepithelial neoplasia tissue with GOLM1 antibody. HIER: boil tissue sections in pH8 EDTA for 20 min and allow to cool before testing.
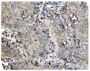
IHC staining of FFPE human esophageal squamous carcinoma tissue with GOLM1 antibody. HIER: boil tissue sections in pH8 EDTA for 20 min and allow to cool before testing.
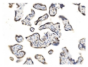
IHC staining of FFPE human placental tissue with GOLM1 antibody. HIER: boil tissue sections in pH8 EDTA for 20 min and allow to cool before testing.
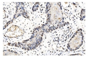
IHC staining of FFPE human lung cancer tissue with GOLM1 antibody. HIER: boil tissue sections in pH8 EDTA for 20 min and allow to cool before testing.
Western blot testing of human 1) U-87 MG, 2) Caco-2, 3) rat testis, 4) rat brain, 5) mouse brain and 6) mouse Neuro-2a cell lysate with GOLM1 antibody. Predicted molecular weight ~73 kDa.
Flow cytometry testing of human Caco-2 cells with GOLM1 antibody at 1ug/million cells (blocked with goat sera); Red=cells alone, Green=isotype control, Blue= GOLM1 antibody.
Availability 1-3 business days
Species Reactivity Human, Mouse, Rat
Format Antigen affinity purified
Clonality Polyclonal (rabbit origin)
Isotype Rabbit IgG
Purity Affinity purified
Buffer Lyophilized from 1X PBS with 2% Trehalose
UniProt Q8NBJ4
Localization Cytoplasmic
Applications Western Blot : 1-2ug/ml
Immunohistochemistry (FFPE) : 2-5ug/ml
Immunofluorescence : 5ug/ml
Flow Cytometry : 1-3ug/million cells
Direct ELISA : 0.1-0.5ug/ml
Limitations This GOLM1 antibody is available for research use only.
Review this product on BioCompare and get a $20 Amazon gift card

Related Products

  • Applications : IHC-P, ELISA (peptide)
    Reactivity : Human
  • Applications : WB, IHC-P, FACS, Direct ELISA
    Reactivity : Mouse, Rat

Description

Golgi membrane protein 1 (GOLM1) also known as Golgi phosphoprotein 2 or Golgi membrane protein GP73 is a protein that in humans is encoded by the GOLM1 gene. The Golgi complex plays a key role in the sorting and modification of proteins exported from the endoplasmic reticulum. The protein encoded by this gene is a type II Golgi transmembrane protein. It processes proteins synthesized in the rough endoplasmic reticulum and assists in the transport of protein cargo through the Golgi apparatus. The expression of this gene has been observed to be upregulated in response to viral infection. Alternatively spliced transcript variants encoding the same protein have been described for this gene.

Application Notes

Optimal dilution of the GOLM1 antibody should be determined by the researcher.

Immunogen

An E. coli-derived human protein (amino acids S37-L401) was used as the immunogen for the GOLM1 antibody.

Storage

After reconstitution, the GOLM1 antibody can be stored for up to one month at 4oC. For long-term, aliquot and store at -20oC. Avoid repeated freezing and thawing.

Cross
Bulk Quote Request Form
Name*:
Organization*:
Email*:
Phone Number*:
Catalog No.*:
Comments and Specifics(amount, formulation, etc.)*:
Validation code: Captchapackage Image


Can't read the image? click here to refresh.
    *required field

Your bulk quote request has been submitted successfully!

Please contact us if you have any questions.