• Tel: 858.663.9055
  • SeparatorEmail: info@nsjbio.com
  • Tel: 858.663.9055
  • Email: info@nsjbio.com
Home >> Antibodies >> Golgi Glycoprotein 1 Antibody / GLG1

Golgi Glycoprotein 1 Antibody / GLG1 [clone GLG1/7174R] (V4022)

  Catalog No Formulation Size Price (USD)  
Image V4022-100UG 0.2 mg/ml in 1X PBS with 0.1 mg/ml BSA (US sourced), 0.05% sodium azide 100 ug 539
Image
V4022-20UG 0.2 mg/ml in 1X PBS with 0.1 mg/ml BSA (US sourced), 0.05% sodium azide 20 ug 249
Image
V4022SAF-100UG 1 mg/ml in 1X PBS; BSA free, sodium azide free 100 ug 539
Microvalidated Recrabbitmono
Bulk quote request
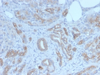
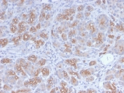
IHC staining of FFPE human breast carcinoma tissue with GLG1 antibody (clone GLG1/7174R).
SDS-PAGE analysis of purified, BSA-free Golgi Glycoprotein 1 antibody (clone GLG1/7174R) as confirmation of integrity and purity.
Availability 1-3 business days
Species Reactivity Human
Format Purified
Clonality Recombinant Rabbit Monoclonal
Isotype Rabbit IgG, kappa
Clone Name GLG1/7174R
Purity Protein A/G affinity
UniProt Q92896
Localization Golgi complex
Applications Immunohistochemistry (FFPE) : 1-2ug/ml
Limitations This Golgi Glycoprotein 1 antibody is available for research use only.
Review this product on BioCompare and get a $20 Amazon gift card

Related Products

Description

The Golgi apparatus is an organelle present in all eukaryotic cells that forms a part of the endomembrane system. The primary function of the Golgi apparatus is to process and package macromolecules synthesized by the cell for exocytosis or use within the cell. This MAb can be used to stain the Golgi complex in cell or tissue preparations and can be used as a Golgi marker in subcellular fractions. It produces a diffuse staining pattern of the Golgi zone in normal and malignant cells. This MAb is an excellent marker for human cells in xenographic model research. It reacts specifically with human cells.

Application Notes

Optimal dilution of the Golgi Glycoprotein 1 antibody should be determined by the researcher.

Immunogen

Recombinant full-length human protein was used as the immunogen for the Golgi Glycoprotein 1 antibody.

Storage

Aliquot the Golgi Glycoprotein 1 antibody and store frozen at -20oC or colder. Avoid repeated freeze-thaw cycles.

Cross
Bulk Quote Request Form
Name*:
Organization*:
Email*:
Phone Number*:
Catalog No.*:
Comments and Specifics(amount, formulation, etc.)*:
Validation code: Captchapackage Image


Can't read the image? click here to refresh.
    *required field

Your bulk quote request has been submitted successfully!

Please contact us if you have any questions.