• Tel: 858.663.9055
  • SeparatorEmail: info@nsjbio.com
  • Tel: 858.663.9055
  • Email: info@nsjbio.com
Home >> Antibodies >> Golgi Antibody / Golgi apparatus protein 1 / GLG1

Golgi Antibody / Golgi apparatus protein 1 / GLG1 [clone CRFG1] (V7095)

  Catalog No Formulation Size Price (USD)  
Image V7095-100UG 0.2 mg/ml in 1X PBS with 0.1 mg/ml BSA (US sourced) and 0.05% sodium azide 100 ug 539
Image
V7095-20UG 0.2 mg/ml in 1X PBS with 0.1 mg/ml BSA (US sourced) and 0.05% sodium azide 20 ug 249
Image
V7095SAF-100UG 1 mg/ml in 1X PBS; BSA free, sodium azide free 100 ug 539
Image
V7095IHC-7ML Prediluted in 1X PBS with 0.1 mg/ml BSA (US sourced) and 0.05% sodium azide; *For IHC use only* 7 ml 539
Bulk quote request
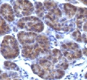
IHC testing of FFPE human pancreas and Golgi antibody (clone CRFG1). FFPE testing requires sections to be boiled in pH 9 10mM Tris with 1mM EDTA followed by cooling at RT for 20 min., prior to staining.
Availability 1-3 business days
Species Reactivity Human
Format Purified
Clonality Monoclonal (mouse origin)
Isotype Mouse IgG1, kappa
Clone Name CRFG1
Purity Protein G affinity chromatography
UniProt Q92896
Localization Golgi complex in cytoplasm
Applications Immunohistochemistry (FFPE) : 1-2ug/ml for 30 min at RT
Prediluted IHC Only Format : incubate for 30 min at RT (1)
Limitations This Golgi antibody is available for research use only.
Review this product on BioCompare and get a $20 Amazon gift card

Related Products

Description

Part of the cellular endomembrane system, the Golgi apparatus packages proteins into membrane-bound vesicles inside the cell before the vesicles are sent to their destination. The Golgi apparatus resides at the intersection of the secretory, lysosomal, and endocytic pathways. It is of particular importance in processing proteins for secretion, containing a set of glycosylation enzymes that attach various sugar monomers to proteins as the proteins move through the apparatus. [Wiki]
This antibody is useful in staining the Golgi apparatus in cell or tissue preparations and subcellular fractions.

Application Notes

Titering of the Golgi antibody may be required for optimal performance.

1. The prediluted format is supplied in a dropper bottle and is optimized for use in IHC. After epitope retrieval step (if required), drip mAb solution onto the tissue section and incubate at RT for 30 min.

Immunogen

The Golgi fraction from human liver cells was used as the immunogen for the Golgi antibody. Not suitable for mouse and rat sample testing.

Storage

Store the Golgi antibody at 2-8oC (with azide) or aliquot and store at -20oC or colder (without azide).

Cross
Bulk Quote Request Form
Name*:
Organization*:
Email*:
Phone Number*:
Catalog No.*:
Comments and Specifics(amount, formulation, etc.)*:
Validation code: Captchapackage Image


Can't read the image? click here to refresh.
    *required field

Your bulk quote request has been submitted successfully!

Please contact us if you have any questions.