• Tel: 858.663.9055
  • SeparatorEmail: info@nsjbio.com
  • Tel: 858.663.9055
  • Email: info@nsjbio.com
Home >> Antibodies >> GOLGA7 Antibody / Golgin subfamily A member 7

GOLGA7 Antibody / Golgin subfamily A member 7 (RQ8801)

  Catalog No Formulation Size Price (USD)  
Image RQ8801 0.5mg/ml if reconstituted with 0.2ml sterile DI water 100 ug 439
Bulk quote request
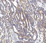
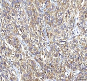
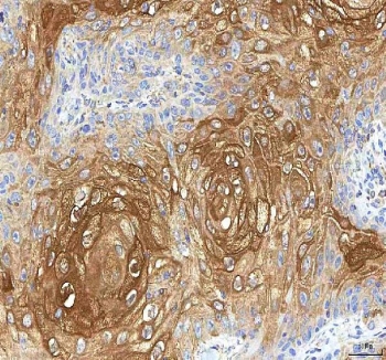
IHC staining of FFPE human skin cancer tissue with GOLGA7 antibody. HIER: boil tissue sections in pH8 EDTA for 20 min and allow to cool before testing.
IHC staining of FFPE human liver cancer tissue with GOLGA7 antibody. HIER: boil tissue sections in pH8 EDTA for 20 min and allow to cool before testing.
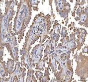
IHC staining of FFPE human lung cancer tissue with GOLGA7 antibody. HIER: boil tissue sections in pH8 EDTA for 20 min and allow to cool before testing.
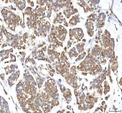
IHC staining of FFPE human breast cancer tissue with GOLGA7 antibody. HIER: boil tissue sections in pH8 EDTA for 20 min and allow to cool before testing.
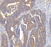
IHC staining of FFPE human rectum adenocarcinoma tissue with GOLGA7 antibody. HIER: boil tissue sections in pH8 EDTA for 20 min and allow to cool before testing.
IHC staining of FFPE human ovarian cancer tissue with GOLGA7 antibody. HIER: boil tissue sections in pH8 EDTA for 20 min and allow to cool before testing.
IHC staining of FFPE human urothelial carcinoma tissue with GOLGA7 antibody. HIER: boil tissue sections in pH8 EDTA for 20 min and allow to cool before testing.
Availability 1-3 days
Species Reactivity Human
Format Antigen affinity purified
Clonality Polyclonal (rabbit origin)
Isotype Rabbit IgG
Purity Antigen affinity chromatography
Buffer Lyophilized from 1X PBS with 2% Trehalose
UniProt Q7Z5G4
Localization Cytoplasm (Golgi)
Applications Immunohistochemistry (FFPE) : 2-5ug/ml
ELISA : 0.1-0.5ug/ml
Limitations This GOLGA7 antibody is available for research use only.
Review this product on BioCompare and get a $20 Amazon gift card

Description

Golgin A7 is a protein that in humans is encoded by the GOLGA7 gene. GOLGA7 may be involved in protein transport from Golgi to cell surface. The ZDHHC9-GOLGA7 complex is a palmitoyltransferase specific for HRAS and NRAS. [UniProt]

Application Notes

Optimal dilution of the GOLGA7 antibody should be determined by the researcher.

Immunogen

An E.coli-derived human recombinant protein (amino acids R2-R131) was used as the immunogen for the GOLGA7 antibody.

Storage

After reconstitution, the GOLGA7 antibody can be stored for up to one month at 4oC. For long-term, aliquot and store at -20oC. Avoid repeated freezing and thawing.

Cross
Bulk Quote Request Form
Name*:
Organization*:
Email*:
Phone Number*:
Catalog No.*:
Comments and Specifics(amount, formulation, etc.)*:
Validation code: Captchapackage Image


Can't read the image? click here to refresh.
    *required field

Your bulk quote request has been submitted successfully!

Please contact us if you have any questions.