• Tel: 858.663.9055
  • SeparatorEmail: info@nsjbio.com
  • Tel: 858.663.9055
  • Email: info@nsjbio.com
Home >> Antibodies >> GNG4 Antibody

GNG4 Antibody (RQ6130)

  Catalog No Formulation Size Price (USD)  
Image RQ6130 0.5mg/ml if reconstituted with 0.2ml sterile DI water 100 ug 439
Bulk quote request
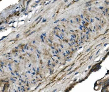
IHC staining of FFPE human placenta with GNG4 antibody. HIER: boil tissue sections in pH8 EDTA for 20 min and allow to cool before testing.
IHC staining of FFPE human placenta with GNG4 antibody. HIER: boil tissue sections in pH8 EDTA for 20 min and allow to cool before testing.
IHC staining of FFPE human melanoma with GNG4 antibody. HIER: boil tissue sections in pH8 EDTA for 20 min and allow to cool before testing.
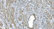
IHC staining of FFPE human renal carcinoma with GNG4 antibody. HIER: boil tissue sections in pH8 EDTA for 20 min and allow to cool before testing.
Western blot testing of 1) human SH-SY5Y, 2) rat brain and 3) mouse brain lysate with GNG4 antibody. Predicted molecular weight ~12 kDa.
Flow cytometry testing of human 293T cells with GNG4 antibody at 1ug/million cells (blocked with goat sera); Red=cells alone, Green=isotype control, Blue= GNG4 antibody.
Availability 1-3 business days
Species Reactivity Human, Mouse, Rat
Format Antigen affinity purified
Clonality Polyclonal (rabbit origin)
Isotype Rabbit IgG
Purity Affinity purified
Buffer Lyophilized from 1X PBS with 2% Trehalose and 0.025% sodium azide
UniProt P50150
RRID AB_3713463
Applications Western Blot : 1-2ug/ml
Immunohistochemistry (FFPE) : 2-5ug/ml
Flow Cytometry : 1-3ug/million cells
Direct ELISA : 0.1-0.5ug/ml
Limitations This GNG4 antibody is available for research use only.
Review this product on BioCompare and get a $20 Amazon gift card

Related Products

Description

Guanine nucleotide-binding protein G(I)/G(S)/G(O) subunit gamma-4 is a protein that in humans is encoded by the GNG4 gene. This gene encodes the gamma subunit of the heterotrimeric G-proteins that are comprised of alpha, beta and gamma subunits. Upon activation by G protein-coupled receptors, the beta-gamma heterodimer dissociates from the alpha subunit to activate downstream signaling events. Alternate splicing results in multiple transcript variants.

Application Notes

Optimal dilution of the GNG4 antibody should be determined by the researcher.

Immunogen

A human recombinant partial protein (amino acids M1-D52) was used as the immunogen for the GNG4 antibody.

Storage

After reconstitution, the GNG4 antibody can be stored for up to one month at 4oC. For long-term, aliquot and store at -20oC. Avoid repeated freezing and thawing.

Cross
Bulk Quote Request Form
Name*:
Organization*:
Email*:
Phone Number*:
Catalog No.*:
Comments and Specifics(amount, formulation, etc.)*:
Validation code: Captchapackage Image


Can't read the image? click here to refresh.
    *required field

Your bulk quote request has been submitted successfully!

Please contact us if you have any questions.