• Tel: 858.663.9055
  • SeparatorEmail: info@nsjbio.com
  • Tel: 858.663.9055
  • Email: info@nsjbio.com
Home >> Antibodies >> GNB3 Antibody

GNB3 Antibody (RQ6637)

  Catalog No Formulation Size Price (USD)  
Image RQ6637 0.5mg/ml if reconstituted with 0.2ml sterile DI water 100 ug 439
Bulk quote request
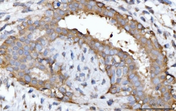
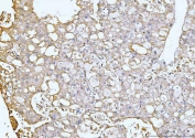
IHC staining of FFPE human breast cancer tissue with GNB3 antibody. HIER: boil tissue sections in pH8 EDTA for 20 min and allow to cool before testing.
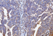
IHC staining of FFPE human bladder epithelial carcinoma tissue with GNB3 antibody. HIER: boil tissue sections in pH8 EDTA for 20 min and allow to cool before testing.
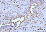
IHC staining of FFPE human appendiceal adenocarcinoma tissue with GNB3 antibody. HIER: boil tissue sections in pH8 EDTA for 20 min and allow to cool before testing.
IHC staining of FFPE human liver cancer tissue with GNB3 antibody. HIER: boil tissue sections in pH8 EDTA for 20 min and allow to cool before testing.
IHC staining of FFPE mouse brain tissue with GNB3 antibody. HIER: boil tissue sections in pH8 EDTA for 20 min and allow to cool before testing.
IHC staining of FFPE rat brain tissue with GNB3 antibody. HIER: boil tissue sections in pH8 EDTA for 20 min and allow to cool before testing.
Immunofluorescent staining of FFPE human HeLa cells with GNB3 antibody (green) and DAPI nuclear stain (blue). HIER: steam section in pH6 citrate buffer for 20 min.
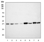
Western blot testing of 1) human HepG2, 2) human HCCT, 3) human HCCP, 4) human Raji, 5) rat brain, 6) rat kidney, 7) mouse brain and 8) mouse kidney tissue lysate with GNB3 antibody. Predicted molecular weight ~37 kDa.
Flow cytometry testing of mouse RAW264.7 cells with GNB3 antibody at 1ug/million cells (blocked with goat sera); Red=cells alone, Green=isotype control, Blue= GNB3 antibody.
Flow cytometry testing of rat C6 cells with GNB3 antibody at 1ug/million cells (blocked with goat sera); Red=cells alone, Green=isotype control, Blue= GNB3 antibody.
Availability 1-3 business days
Species Reactivity Human, Mouse, Rat
Format Antigen affinity purified
Clonality Polyclonal (rabbit origin)
Isotype Rabbit IgG
Purity Antigen affinity purified
Buffer Lyophilized from 1X PBS with 2% Trehalose
UniProt P16520
Localization Cytoplasmic
Applications Western Blot : 1-2ug/ml
Immunohistochemistry (FFPE) : 2-5ug/ml
Immunofluorescence (FFPE) : 5ug/ml
Flow Cytometry : 1-3ug/million cells
Direct ELISA : 0.1-0.5ug/ml
Limitations This GNB3 antibody is available for research use only.
Review this product on BioCompare and get a $20 Amazon gift card

Related Products

  • Applications : WB, ELISA (peptide)
    Reactivity : Human
    Pred. Reactivity : Cow, Dog, Mouse, Rat
  • Applications : WB, IHC, ELISA (peptide)
    Reactivity : Human

Description

Guanine nucleotide-binding protein G(I)/G(S)/G(T) subunit beta-3 is a protein that in humans is encoded by the GNB3 gene. Heterotrimeric guanine nucleotide-binding proteins (G proteins), which integrate signals between receptors and effector proteins, are composed of an alpha, a beta, and a gamma subunit. These subunits are encoded by families of related genes. This gene encodes a beta subunit which belongs to the WD repeat G protein beta family. Beta subunits are important regulators of alpha subunits, as well as of certain signal transduction receptors and effectors. A single-nucleotide polymorphism (C825T) in this gene is associated with essential hypertension and obesity. This polymorphism is also associated with the occurrence of the splice variant GNB3-s, which appears to have increased activity. GNB3-s is an example of alternative splicing caused by a nucleotide change outside of the splice donor and acceptor sites. Alternative splicing results in multiple transcript variants. Additional alternatively spliced transcript variants of this gene have been described, but their full-length nature is not known.

Application Notes

Optimal dilution of the GNB3 antibody should be determined by the researcher.

Immunogen

Recombinant human protein (amino acids A11-R49) was used as the immunogen for the GNB3 antibody.

Storage

After reconstitution, the GNB3 antibody can be stored for up to one month at 4oC. For long-term, aliquot and store at -20oC. Avoid repeated freezing and thawing.

Cross
Bulk Quote Request Form
Name*:
Organization*:
Email*:
Phone Number*:
Catalog No.*:
Comments and Specifics(amount, formulation, etc.)*:
Validation code: Captchapackage Image


Can't read the image? click here to refresh.
    *required field

Your bulk quote request has been submitted successfully!

Please contact us if you have any questions.