• Tel: 858.663.9055
  • SeparatorEmail: info@nsjbio.com
  • Tel: 858.663.9055
  • Email: info@nsjbio.com
Home >> Antibodies >> GNB3 Antibody

GNB3 Antibody (R35902)

  Catalog No Formulation Size Price (USD)  
Image R35902-100UG 0.5 mg/ml in 1X TBS, pH7.3, with 0.5% BSA (US sourced) and 0.02% sodium azide 100 ug 449
Bulk quote request
Western blot testing of HepG2 lysate with GNB3 antibody at 0.1ug/ml. Predicted molecular weight ~37kDa.
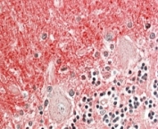
IHC staining of FFPE human cerebellum with GNB3 antibody at 4ug/ml. HIER: steamed with pH6 citrate buffer, AP-staining.
Availability 1-3 business days
Species Reactivity Human
Format Antigen affinity purified
Clonality Polyclonal (goat origin)
Isotype Goat Ig
Purity Antigen affinity
Gene ID 2784 , 59345
Applications Western Blot : 0.1-0.3ug/ml
Immunohistochemistry (FFPE) : 3-5ug/ml
ELISA (peptide) LOD : 1:16000
Limitations This GNB3 antibody is available for research use only.
Review this product on BioCompare and get a $20 Amazon gift card

Related Products

  • Applications : WB, ELISA (peptide)
    Reactivity : Human
    Pred. Reactivity : Cow, Dog, Mouse, Rat
  • Applications : WB, IHC-P, IF, FACS, Direct ELISA
    Reactivity : Human, Mouse, Rat

Description

Additional name(s) for this target protein: Guanine nucleotide binding protein (G protein), beta polypeptide 3

Application Notes

Optimal dilution of the GNB3 antibody should be determined by the researcher.

1. This GNB3 antibody is expected to cross react with the highly homologous GNB4.

Immunogen

Amino acids SGHDNRVSCLGVT were used as the immunogen for this GNB3 antibody.

Storage

Aliquot and store the GNB3 antibody at -20oC.

Cross
Bulk Quote Request Form
Name*:
Organization*:
Email*:
Phone Number*:
Catalog No.*:
Comments and Specifics(amount, formulation, etc.)*:
Validation code: Captchapackage Image


Can't read the image? click here to refresh.
    *required field

Your bulk quote request has been submitted successfully!

Please contact us if you have any questions.