• Tel: 858.663.9055
  • SeparatorEmail: info@nsjbio.com
  • Tel: 858.663.9055
  • Email: info@nsjbio.com
Home >> Antibodies >> GNB1 Antibody / Guanine nucleotide binding protein beta 1 subunit

GNB1 Antibody / Guanine nucleotide binding protein beta 1 subunit (R32535)

  Catalog No Formulation Size Price (USD)  
Image R32535 0.5mg/ml if reconstituted with 0.2ml sterile DI water 100 ug 439
Bulk quote request
Western blot testing of 1) rat liver, 2) mouse heart and 3) human HeLa lysate with GNB1 antibody at 0.5ug/ml. Predicted/observed molecular weight: ~37 kDa.
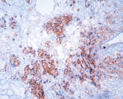
IHC testing of FFPE human liver cancer tissue with GNB1 antibody at 1ug/ml. HIER: steam section in pH6 citrate buffer for 20 min.
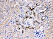
IHC testing of FFPE mouse kidney with GNB1 antibody at 1ug/ml. HIER: steam section in pH6 citrate buffer for 20 min.
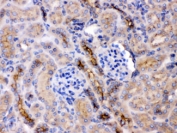
IHC testing of FFPE rat kidney with GNB1 antibody at 1ug/ml. HIER: steam section in pH6 citrate buffer for 20 min.
IHC testing of FFPE human placental tissue with GNB1 antibody at 1ug/ml. HIER: steam section in pH6 citrate buffer for 20 min.
IF/ICC staining of FFPE human A549 cells with GNB1 antibody (green) at 2ug/ml and DAPI nuclear stain (blue). HIER: steam section in pH6 citrate buffer for 20 min.
Flow cytometry testing of human U937 cells with GNB1 antibody at 1ug/10^6 cells (blocked with goat sera); Red=cells alone, Green=isotype control, Blue= GNB1 antibody.
Availability 1-3 business days
Species Reactivity Human, Mouse, Rat
Format Antigen affinity purified
Clonality Polyclonal (rabbit origin)
Isotype Rabbit IgG
Purity Antigen affinity
Buffer Lyophilized from 1X PBS with 2.5% BSA and 0.025% sodium azide
UniProt P62873
Localization Cytoplasmic, membranous
Applications Western Blot : 0.5-1ug/ml
IHC (FFPE) : 1-2ug/ml
IF/ICC (FFPE) : 2-4ug/ml
Flow Cytometry : 1-2ug/10^6 cells
Limitations This GNB1 antibody is available for research use only.
Review this product on BioCompare and get a $20 Amazon gift card

Related Products

Description

Guanine nucleotide-binding protein G(I)/G(S)/G(T) subunit beta-1 is a protein that in humans is encoded by the GNB1 gene. Heterotrimeric guanine nucleotide-binding proteins (G proteins), which integrate signals between receptors and effector proteins, are composed of an alpha, a beta, and a gamma subunit. These subunits are encoded by families of related genes. This gene encodes a beta subunit. Beta subunits are important regulators of alpha subunits, as well as of certain signal transduction receptors and effectors. This gene uses alternative polyadenylation signals.

Application Notes

Differences in protocols and secondary/substrate sensitivity may require the GNB1 antibody to be titrated for optimal performance.

Immunogen

Amino acids 2-42 (SELDQLRQEAEQLKNQIRDARKACADATLSQITNNIDPVGR) from the human protein were used as the immunogen for the GNB1 antibody.

Storage

After reconstitution, the GNB1 antibody can be stored for up to one month at 4oC. For long-term, aliquot and store at -20oC. Avoid repeated freezing and thawing.

Cross
Bulk Quote Request Form
Name*:
Organization*:
Email*:
Phone Number*:
Catalog No.*:
Comments and Specifics(amount, formulation, etc.)*:
Validation code: Captchapackage Image


Can't read the image? click here to refresh.
    *required field

Your bulk quote request has been submitted successfully!

Please contact us if you have any questions.