• Tel: 858.663.9055
  • SeparatorEmail: info@nsjbio.com
  • Tel: 858.663.9055
  • Email: info@nsjbio.com
Home >> Antibodies >> GNAT3 Antibody

GNAT3 Antibody (R34552)

  Catalog No Formulation Size Price (USD)  
Image R34552-100UG 0.5 mg/ml in 1X TBS, pH7.3, with 0.5% BSA (US sourced) and 0.02% sodium azide 100 ug 449
Bulk quote request
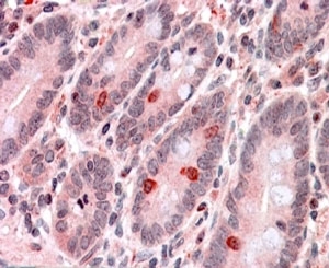
IHC testing of FFPE human small intestine with GNAT3 antibody at 4ug/ml. HIER: steamed with pH6 citrate buffer, AP-staining. Staining of endocrine cells amongst the enterocytes is seen.
Availability 1-3 business days
Species Reactivity Human
Predicted Reactivity Dog, Mouse, Rat
Format Antigen affinity purified
Clonality Polyclonal (goat origin)
Isotype Goat Ig
Purity Antigen affinity
Gene ID 346562
Applications Immunohistochemistry (FFPE) : 3-6ug/ml
ELISA (peptide) LOD : 1:32000
Limitations This GNAT3 antibody is available for research use only.
Review this product on BioCompare and get a $20 Amazon gift card

Description

Additional name(s) for this target protein: Guanine nucleotide binding protein, alpha transducing 3; GNAT3

Application Notes

Optimal dilution of the GNAT3 antibody should be determined by the researcher.

Immunogen

Amino acids KNQFLDLNLKKEDKE were used as the immunogen for this GNAT3 antibody.

Storage

Aliquot and store the GNAT3 antibody at -20oC.

Cross
Bulk Quote Request Form
Name*:
Organization*:
Email*:
Phone Number*:
Catalog No.*:
Comments and Specifics(amount, formulation, etc.)*:
Validation code: Captchapackage Image


Can't read the image? click here to refresh.
    *required field

Your bulk quote request has been submitted successfully!

Please contact us if you have any questions.