• Tel: 858.663.9055
  • SeparatorEmail: info@nsjbio.com
  • Tel: 858.663.9055
  • Email: info@nsjbio.com
Home >> Antibodies >> GNAQ Antibody / Guanine nucleotide binding protein Gq subunit alpha

GNAQ Antibody / Guanine nucleotide binding protein Gq subunit alpha [clone 30G74] (FY12887)

  Catalog No Formulation Size Price (USD)  
Image FY12887 Rabbit IgG in phosphate buffered saline, pH 7.4, 150mM NaCl, 0.02% sodium azide and 50% glycerol, 0.4-0.5mg/ml BSA 100 ul 439
Microvalidated Recrabbitmono
Bulk quote request
Western blot analysis of GNAQ using anti-GNAQ antibody. Electrophoresis was performed on a 10% SDS-PAGE gel at 80V (Stacking gel) / 120V (Resolving gel) for 2 hours. Lane 1: human Hela whole cell lysates, Lane 2: human Jurkat whole cell lysates, Lane 3: human HepG2 whole cell lysates, Lane 4: human U251 whole cell lysates, Lane 5: rat brain tissue lysates, Lane 6: rat C6 whole cell lysates, Lane 7: mouse brain tissue lysates, Lane 8: mouse NIH/3T3 whole cell lysates. After electrophoresis, proteins were transferred to a nitrocellulose membrane at 150 mA for 50-90 minutes. Blocked the membrane with 5% non-fat milk/TBS for 1.5 hour at RT. The membrane was incubated with rabbit anti-GNAQ antibody at 1:500 overnight at 4oC, then washed with TBS-0.1%Tween 3 times with 5 minutes each and probed with a goat anti-rabbit IgG-HRP secondary antibody at a dilution of 1:5000 for 1.5 hour at RT. The signal was developed using an ECL Plus Western Blotting Substrate. The expected molecular weight of GNAQ is ~42 kDa.
Immunofluorescent analysis using the GNAQ antibody (green) at 1:50 dilution.
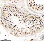
Immunohistochemical staining of GNAQ using anti-GNAQ antibody. GNAQ was detected in a paraffin-embedded section of human testis tissue. Heat mediated antigen retrieval was performed in EDTA buffer (pH 8.0, epitope retrieval solution). The tissue section was blocked with 10% goat serum. The tissue section was then incubated with 1:50 rabbit anti-GNAQ antibody overnight at 4oC. Peroxidase Conjugated Goat Anti-rabbit IgG was used as secondary antibody and incubated for 30 minutes at 37oC. The tissue section was developed using an HRP secondary and DAB substrate.
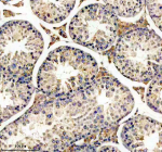
Immunohistochemical staining of GNAQ using anti-GNAQ antibody. GNAQ was detected in a paraffin-embedded section of mouse testis tissue. Heat mediated antigen retrieval was performed in EDTA buffer (pH 8.0, epitope retrieval solution). The tissue section was blocked with 10% goat serum. The tissue section was then incubated with 1:50 rabbit anti-GNAQ antibody overnight at 4oC. Peroxidase Conjugated Goat Anti-rabbit IgG was used as secondary antibody and incubated for 30 minutes at 37oC. The tissue section was developed using an HRP secondary and DAB substrate.
Availability 2-3 weeks
Species Reactivity Human, Mouse, Rat
Format Liquid
Clonality Recombinant Rabbit Monoclonal
Isotype Rabbit IgG
Clone Name 30G74
Purity Affinity chromatography
Buffer Rabbit IgG in phosphate buffered saline, pH 7.4, 150mM NaCl, 0.02% sodium azide and 50% glycerol, 0.4-0.5mg/ml BSA.
UniProt P50148
Localization Nucleus, Cytoplasm (Golgi), Cell membrane
Applications Western Blot : 1:500-1:2000
Immunohistochemistry : 1:50-1:200
Immunocytochemistry/Immunofluorescence : 1:50-1:200
Limitations This GNAQ antibody is available for research use only.
Review this product on BioCompare and get a $20 Amazon gift card

Related Products

  • Applications : ELISA, FACS, IF
    Reactivity : Human
  • Applications : WB, ELISA (peptide)
    Reactivity : Human, Mouse, Rat, Pig
    Pred. Reactivity : Cow, Dog
  • Applications : WB, IHC-P, IF, FACS
    Reactivity : Human, Mouse, Rat
  • Applications : WB, IHC-P
    Reactivity : Zebrafish

Description

GNAQ antibody detects Guanine nucleotide binding protein Gq subunit alpha, encoded by the GNAQ gene. This protein is a member of the heterotrimeric G protein alpha subunit family and couples receptors to downstream signaling cascades. Upon activation by G protein coupled receptors, GNAQ activates phospholipase C beta, leading to the production of inositol triphosphate and diacylglycerol. GNAQ antibody enables detailed study of this central signaling node and its contribution to cellular communication, growth, and differentiation.

Guanine nucleotide binding protein Gq subunit alpha plays a pivotal role in calcium signaling, activating pathways that regulate smooth muscle contraction, secretion, and gene expression. Dysregulation of GNAQ activity has been linked to developmental disorders, vascular anomalies, and cancers. Mutations in GNAQ are frequent in uveal melanoma and Sturge Weber syndrome, where they drive aberrant MAPK signaling and cell proliferation. Research using GNAQ antibody provides a means to detect altered protein levels and examine how mutant forms disrupt signaling dynamics.

Studies have also shown that GNAQ interacts with multiple effector pathways, including protein kinase C and Rho GTPases, extending its impact on cytoskeletal remodeling, migration, and survival. GNAQ antibody has been used to investigate signaling crosstalk in cardiovascular, neurological, and oncological contexts. Its function in coupling receptors to intracellular calcium release makes it indispensable for understanding receptor mediated physiology and pathology.

GNAQ antibody is employed in western blotting, immunohistochemistry, and immunofluorescence. Western blotting measures expression in tissues such as brain, heart, and smooth muscle. Immunohistochemistry visualizes localization in vascular endothelium and tumor samples. Immunofluorescence reveals distribution at the plasma membrane, consistent with its role as a receptor coupled G protein. Functional experiments have used GNAQ antibody to track expression changes following pharmacological inhibition of GPCR pathways.

By providing validated GNAQ antibody reagents, NSJ Bioreagents supports research in receptor signaling, cancer biology, and cardiovascular physiology. Guanine nucleotide binding protein Gq subunit alpha remains a vital component of GPCR signaling pathways, and detection with GNAQ antibody ensures reliable insights into its regulation and disease relevance.

Application Notes

Optimal dilution of the GNAQ antibody should be determined by the researcher.

Immunogen

A synthesized peptide derived from human GNAQ was used as the immunogen for the GNAQ antibody.

Storage

Store the GNAQ antibody at -20oC.

Cross
Bulk Quote Request Form
Name*:
Organization*:
Email*:
Phone Number*:
Catalog No.*:
Comments and Specifics(amount, formulation, etc.)*:
Validation code: Captchapackage Image


Can't read the image? click here to refresh.
    *required field

Your bulk quote request has been submitted successfully!

Please contact us if you have any questions.