• Tel: 858.663.9055
  • SeparatorEmail: info@nsjbio.com
  • Tel: 858.663.9055
  • Email: info@nsjbio.com
Home >> Antibodies >> GMP Synthase Antibody / GMPS

GMP Synthase Antibody / GMPS (RQ6255)

  Catalog No Formulation Size Price (USD)  
Image RQ6255 0.5mg/ml if reconstituted with 0.2ml sterile DI water 100 ug 439
Bulk quote request
Flow cytometry testing of human HeLa cells with GMP Synthase antibody at 1ug/million cells (blocked with goat sera); Red=cells alone, Green=isotype control, Blue= GMP Synthase antibody.
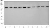
Western blot testing of human 1) HEK293, 2) A431, 3) HL60, 4) COLO-320, 5) Raji, 6) ThP-1, 7) Jurkat, 8) K562, 9) rat PC-12 and 10) mouse thymus lysate with GMP Synthase antibody. Predicted molecular weight ~77 kDa.
Availability 1-3 business days
Species Reactivity Human, Mouse, Rat
Format Antigen affinity purified
Clonality Polyclonal (rabbit origin)
Isotype Rabbit IgG
Purity Affinity purified
Buffer Lyophilized from 1X PBS with 2% Trehalose
UniProt P49915
Applications Western Blot : 1-2ug/ml
Flow Cytometry : 1-3ug/million cells
Direct ELISA : 0.1-0.5ug/ml
Limitations This GMP Synthase antibody is available for research use only.
Review this product on BioCompare and get a $20 Amazon gift card

Related Products

Description

Guanosine monophosphate synthetase, also known as GMPS is an enzyme that converts xanthosine monophosphate to guanosine monophosphate. In the de novo synthesis of purine nucleotides, IMP is the branch point metabolite at which point the pathway diverges to the synthesis of either guanine or adenine nucleotides. In the guanine nucleotide pathway, there are 2 enzymes involved in converting IMP to GMP, namely IMP dehydrogenase (IMPD1), which catalyzes the oxidation of IMP to XMP, and GMP synthetase, which catalyzes the amination of XMP to GMP.

Application Notes

Optimal dilution of the GMP Synthase antibody should be determined by the researcher.

Immunogen

A human recombinant partial protein (amino acids H21-K671) was used as the immunogen for the GMP Synthase antibody.

Storage

After reconstitution, the GMP Synthase antibody can be stored for up to one month at 4oC. For long-term, aliquot and store at -20oC. Avoid repeated freezing and thawing.

Cross
Bulk Quote Request Form
Name*:
Organization*:
Email*:
Phone Number*:
Catalog No.*:
Comments and Specifics(amount, formulation, etc.)*:
Validation code: Captchapackage Image


Can't read the image? click here to refresh.
    *required field

Your bulk quote request has been submitted successfully!

Please contact us if you have any questions.