• Tel: 858.663.9055
  • SeparatorEmail: info@nsjbio.com
  • Tel: 858.663.9055
  • Email: info@nsjbio.com
Home >> Antibodies >> GMNN Antibody / Geminin

GMNN Antibody / Geminin [clone GMNN/3665] (V8963)

  Catalog No Formulation Size Price (USD)  
Image V8963-100UG 0.2 mg/ml in 1X PBS with 0.1 mg/ml BSA (US sourced), 0.05% sodium azide 100 ug 539
Image
V8963-20UG 0.2 mg/ml in 1X PBS with 0.1 mg/ml BSA (US sourced), 0.05% sodium azide 20 ug 249
Image
V8963SAF-100UG 1 mg/ml in 1X PBS; BSA free, sodium azide free 100 ug 539
Microvalidated
Bulk quote request
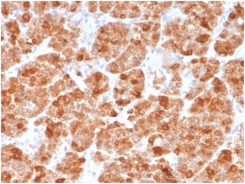
IHC staining of FFPE human spleen tissue with GMNN antibody (clone GMNN/3665). HIER: boil tissue sections in pH 9 10mM Tris with 1mM EDTA for 20 min and allow to cool before testing.
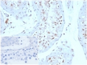
IHC staining of FFPE human testis tissue with GMNN antibody (clone GMNN/3665). Negative control inset: PBS instead of primary antibody to control for secondary binding. HIER: boil tissue sections in pH 9 10mM Tris with 1mM EDTA for 20 min and allow to cool before testing.
Immunofluorescent staining of PFA-fixed human MCF-7 cells using GMNN antibody (clone GMNN/3665).
Analysis of HuProt(TM) microarray containing more than 19,000 full-length human proteins using GMNN antibody (clone GMNN/3665). These results demonstrate the foremost specificity of the GMNN/3665 mAb. Z- and S- score: The Z-score represents the strength of a signal that an antibody (in combination with a fluorescently-tagged anti-IgG secondary Ab) produces when binding to a particular protein on the HuProt(TM) array. Z-scores are described in units of standard deviations (SD's) above the mean value of all signals generated on that array. If the targets on the HuProt(TM) are arranged in descending order of the Z-score, the S-score is the difference (also in units of SD's) between the Z-scores. The S-score therefore represents the relative target specificity of an Ab to its intended target.
Availability 1-3 business days
Species Reactivity Human
Format Purified
Clonality Monoclonal (mouse origin)
Isotype Mouse IgG1, kappa
Clone Name GMNN/3665
Purity Protein A/G affinity
UniProt O75496
Localization Nuclear, cytoplasmic
Applications Immunofluorescence : 1-2ug/ml
Immunohistochemistry (FFPE) : 1-2ug/ml
Limitations This GMNN antibody is available for research use only.
Review this product on BioCompare and get a $20 Amazon gift card

Related Products

Description

Geminin is a nuclear protein that regulates the initiation of DNA replication during the cell cycle.

Application Notes

Optimal dilution of the GMNN antibody should be determined by the researcher.

Immunogen

A recombinant protein fragment was used as the immunogen for the GMNN antibody.

Storage

Aliquot the GMNN antibody and store frozen at -20oC or colder. Avoid repeated freeze-thaw cycles.

Cross
Bulk Quote Request Form
Name*:
Organization*:
Email*:
Phone Number*:
Catalog No.*:
Comments and Specifics(amount, formulation, etc.)*:
Validation code: Captchapackage Image


Can't read the image? click here to refresh.
    *required field

Your bulk quote request has been submitted successfully!

Please contact us if you have any questions.