• Tel: 858.663.9055
  • SeparatorEmail: info@nsjbio.com
  • Tel: 858.663.9055
  • Email: info@nsjbio.com
Home >> Antibodies >> Glypican-3 Antibody

Glypican-3 Antibody [clone 1G12] (V2536)

  Catalog No Formulation Size Price (USD)  
Image V2536-100UG 0.2 mg/ml in 1X PBS with 0.1 mg/ml BSA (US sourced) and 0.05% sodium azide 100 ug 539
Image
V2536-20UG 0.2 mg/ml in 1X PBS with 0.1 mg/ml BSA (US sourced) and 0.05% sodium azide 20 ug 249
Image
V2536SAF-100UG 1 mg/ml in 1X PBS; BSA free, sodium azide free 100 ug 539
Image
V2536IHC-7ML Prediluted in 1X PBS with 0.1 mg/ml BSA (US sourced) and 0.05% sodium azide; *For IHC use only* 7 ml 539
Bulk quote request
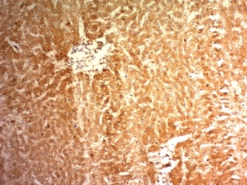
IHC: Formalin-fixed, paraffin-embedded human hepatocellular carcinoma stained with Glypican-3 antibody (clone 1G12).
Immunofluorescent staining of methanol-fixed HepG2 cells with Glypican-3 antibody (green, clone 1G12) and Reddot nuclear stain (red).
Western blot testing of human HePG2 cell lysate with Glypican-3 antibody (clone 1G12). Expected molecular weight 66-115 kDa depending on glycosylation level.
Flow cytometry testing of methanol-fixed human HepG2 cells with Glypican-3 antibody (clone 1G12); Red=isotype control, Blue= Glypican-3 antibody.
SDS-PAGE analysis of purified, BSA-free Glypican-3 antibody (clone 1G12) as confirmation of integrity and purity.
Availability 1-3 business days
Species Reactivity Human
Format Purified
Clonality Monoclonal (mouse origin)
Isotype Mouse IgG1, kappa
Clone Name 1G12
Purity Protein G affinity chromatography
UniProt P51654
Localization Cytoplasmic
Applications Western Blot : 1-2ug/ml
Flow Cytometry : 1-2ug/million cells
Immunofluorescence : 1-2ug/ml
Immunohistochemistry (FFPE) : 0.5-1ug/ml for 30 min at RT
Limitations This Glypican-3 antibody is available for research use only.
Review this product on BioCompare and get a $20 Amazon gift card

Related Products

Description

Glypican-3 antibody clone 1G12 is a monoclonal antibody that recognizes glypican-3 (GPC3), a heparan sulfate proteoglycan bound to the cell surface via a glycosylphosphatidylinositol anchor. GPC3 plays an important role in cell growth regulation and development, particularly in the liver. In adult tissues, its expression is limited, but in disease contexts, especially hepatocellular carcinoma (HCC), GPC3 is strongly upregulated, making it an essential biomarker in oncology and hepatology. NSJ Bioreagents provides Glypican-3 antibody clone 1G12 for reliable detection of this clinically significant protein in cancer biology and diagnostic research.

The antibody produces strong membranous and cytoplasmic staining in hepatocellular carcinoma, distinguishing malignant liver tissue from benign conditions such as cirrhosis or hepatitis, where GPC3 expression is absent. This makes it a critical tool in pathology, where accurate diagnosis of HCC can be challenging, particularly in early-stage or poorly differentiated tumors.

In oncology, this antibody has been employed to study the molecular pathways involving GPC3, which modulates Wnt and Hedgehog signaling. These pathways contribute to tumor cell proliferation, migration, and invasion. By detecting GPC3 expression, researchers gain insight into how tumors exploit developmental pathways to support malignancy.

Beyond liver cancer, Glypican-3 antibody clone 1G12 has also been applied in studies of germ cell tumors, including yolk sac tumors and certain ovarian carcinomas. Its ability to highlight GPC3 expression in these malignancies broadens its diagnostic and research applications.

In developmental biology, the antibody has supported research into the role of glypican family members in embryogenesis. Mutations in GPC3 cause Simpson-Golabi-Behmel syndrome, a developmental overgrowth disorder, emphasizing its importance in regulating cell proliferation.

Validated in tissue and cell-based studies, the antibody consistently produces reproducible staining with minimal background, making it a dependable choice in both clinical and experimental settings. Alternate names include GPC3 antibody, hepatocellular carcinoma marker antibody, and glypican family protein antibody.

Application Notes

Optimal dilution of the Glypican-3 antibody should be determined by the researcher.

1. Staining of formalin-fixed tissues requires boiling tissue sections in 10mM Tris with 1mM EDTA, pH 9.0, for 10-20 min followed by cooling at RT for 20 min
2. The prediluted format is supplied in a dropper bottle and is optimized for use in IHC. After epitope retrieval step (if required), drip mAb solution onto the tissue section and incubate at RT for 30 min.

Immunogen

A recombinant fragment containing amino acids 511-580 from the human protein was used as the immunogen for the Glypican-3 antibody.

Storage

Store the Glypican-3 antibody at 2-8oC (with azide) or aliquot and store at -20oC or colder (without azide).

Cross
Bulk Quote Request Form
Name*:
Organization*:
Email*:
Phone Number*:
Catalog No.*:
Comments and Specifics(amount, formulation, etc.)*:
Validation code: Captchapackage Image


Can't read the image? click here to refresh.
    *required field

Your bulk quote request has been submitted successfully!

Please contact us if you have any questions.