• Tel: 858.663.9055
  • SeparatorEmail: info@nsjbio.com
  • Tel: 858.663.9055
  • Email: info@nsjbio.com
Home >> Antibodies >> Glycophorin A Antibody

Glycophorin A Antibody (R36097)

  Catalog No Formulation Size Price (USD)  
Image R36097-100UG 0.5 mg/ml in 1X TBS, pH7.3, with 0.5% BSA (US sourced) and 0.02% sodium azide 100 ug 449
Bulk quote request
Western blot testing of human liver lysate with Glycophorin A antibody at 1ug/ml. Expected molecular weight: routinely observed at ~16kDa and/or ~38kDa.
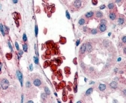
IHC staining of erythrocytes in FFPE human kidney tissue with Glycophorin A antibody at 2ug/ml. HIER: steamed with pH6 citrate buffer, AP-staining.
Availability 1-3 business days
Species Reactivity Human
Format Antigen affinity purified
Clonality Polyclonal (goat origin)
Isotype Goat Ig
Purity Antigen affinity
Gene ID 2993
Localization Cytoplasmic, membranous
Applications Western Blot : 1-3ug/ml
Immunohistochemistry (FFPE) : 2-4ug/ml
ELISA (peptide) LOD : 1:4000
Limitations This Glycophorin A antibody is available for research use only.
Review this product on BioCompare and get a $20 Amazon gift card

Related Products

Description

Additional name(s) for this target protein: GYPA

Application Notes

Optimal dilution of the Glycophorin A antibody should be determined by the researcher.

Immunogen

Amino acids SVEIENPETSDQ were used as the immunogen for this Glycophorin A antibody.

Storage

Aliquot and store the Glycophorin A antibody at -20oC.

Cross
Bulk Quote Request Form
Name*:
Organization*:
Email*:
Phone Number*:
Catalog No.*:
Comments and Specifics(amount, formulation, etc.)*:
Validation code: Captchapackage Image


Can't read the image? click here to refresh.
    *required field

Your bulk quote request has been submitted successfully!

Please contact us if you have any questions.