• Tel: 858.663.9055
  • SeparatorEmail: info@nsjbio.com
  • Tel: 858.663.9055
  • Email: info@nsjbio.com
Home >> Antibodies >> Glycophorin A Antibody

Glycophorin A Antibody [clone GYPA/280] (V2562)

  Catalog No Formulation Size Price (USD)  
Image V2562-100UG 0.2 mg/ml in 1X PBS with 0.1 mg/ml BSA (US sourced) and 0.05% sodium azide 100 ug 539
Image
V2562-20UG 0.2 mg/ml in 1X PBS with 0.1 mg/ml BSA (US sourced) and 0.05% sodium azide 20 ug 249
Image
V2562SAF-100UG 1 mg/ml in 1X PBS; BSA free, sodium azide free 100 ug 539
Image
V2562IHC-7ML Prediluted in 1X PBS with 0.1 mg/ml BSA (US sourced) and 0.05% sodium azide; *For IHC use only* 7 ml 539
Bulk quote request
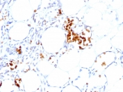
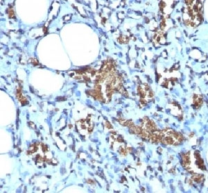
IHC-P: Formalin-fixed, paraffin-embedded human angiosarcoma stained with Glycophorin A antibody (clone GYPA/280).
IHC-P: Formalin-fixed, paraffin-embedded human angiosarcoma stained with Glycophorin A antibody (clone GYPA/280).
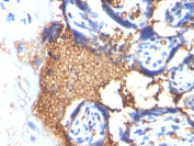
IHC-P: Formalin-fixed, paraffin-embedded human placenta stained with Glycophorin A antibody (clone GYPA/280).
Western blot testing of human K562 cell lysate with Glycophorin A antibody (clone GYPA/280). Expected molecular weight: routinely observed at ~16/38 kDa.
SDS-PAGE analysis of purified, BSA-free Glycophorin A antibody (clone GYPA/280) as confirmation of integrity and purity.
Availability 1-3 business days
Species Reactivity Human
Format Purified
Clonality Monoclonal (mouse origin)
Isotype Mouse IgG1, kappa
Clone Name GYPA/280
Purity Protein G affinity chromatography
UniProt P02724
Localization Cytoplasmic, membranous
Applications Immunohistochemistry (FFPE) : 1-2ug/ml for 30 min at RT
Western Blot : 1-2ug/ml
Limitations This Glycophorin A antibody is available for research use only.
Review this product on BioCompare and get a $20 Amazon gift card

Related Products

Description

Recognizes a sialoglycoprotein of 39kDa, identified as glycophorin A (GPA). It is present on red blood cells (RBC) and erythroid precursor cells. It has been shown that glycophorin acts as the receptor for Sandei virus and parvovirus. Glycophorins A (GPA) and B (GPB), which are single, trans-membrane sialoglycoproteins. GPA is the carrier of blood group M and N specificities, while GPB accounts for S and U specificities. GPA and GPB provide the cells with a large mucin like surface and it has been suggested this provides a barrier to cell fusion, so minimizing aggregation between red blood cells in the circulation.

Application Notes

Optimal dilution of the Glycophorin A antibody should be determined by the researcher.

1. Staining of formalin-fixed tissues requires boiling tissue sections in pH 9 10mM Tris with 1mM EDTA for 10-20 min followed by cooling at RT for 20 minutes
2. The prediluted format is supplied in a dropper bottle and is optimized for use in IHC. After epitope retrieval step (if required), drip mAb solution onto the tissue section and incubate at RT for 30 min.

Immunogen

Recombinant human GPA protein was used as the immunogen for the Glycophorin A antibody.

Storage

Store the Glycophorin A antibody at 2-8oC (with azide) or aliquot and store at -20oC or colder (without azide).

Cross
Bulk Quote Request Form
Name*:
Organization*:
Email*:
Phone Number*:
Catalog No.*:
Comments and Specifics(amount, formulation, etc.)*:
Validation code: Captchapackage Image


Can't read the image? click here to refresh.
    *required field

Your bulk quote request has been submitted successfully!

Please contact us if you have any questions.