• Tel: 858.663.9055
  • SeparatorEmail: info@nsjbio.com
  • Tel: 858.663.9055
  • Email: info@nsjbio.com
Home >> Antibodies >> Glutamine Synthetase Antibody / GLUL

Glutamine Synthetase Antibody / GLUL [clone GLUL/8996R] (V4746)

  Catalog No Formulation Size Price (USD)  
Image V4746-100UG 0.2 mg/ml in 1X PBS with 0.1 mg/ml BSA (US sourced), 0.05% sodium azide 100 ug 539
Image
V4746-20UG 0.2 mg/ml in 1X PBS with 0.1 mg/ml BSA (US sourced), 0.05% sodium azide 20 ug 249
Image
V4746SAF-100UG 1 mg/ml in 1X PBS; BSA free, sodium azide free 100 ug 539
Microvalidated Recrabbitmono
Bulk quote request
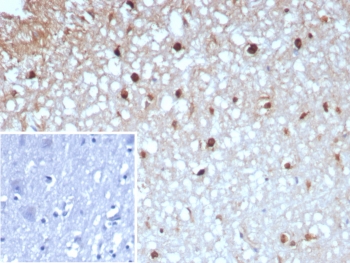
IHC staining of FFPE human brain tissue with GLUL antibody (clone GLUL/8996R). Inset: PBS used in place of primary Ab (secondary Ab negative control). HIER: boil tissue sections in pH 9 10mM Tris with 1mM EDTA for 20 min and allow to cool before testing.
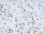
IHC staining of FFPE human brain tissue with GLUL antibody (clone GLUL/8996R). HIER: boil tissue sections in pH 9 10mM Tris with 1mM EDTA for 20 min and allow to cool before testing.
Western blot testing of human Y79 cell lysate with Glutamine Synthetase antibody. Predicted molecular weight ~42 kDa.
SDS-PAGE analysis of purified, BSA-free Glutamine Synthetase antibody (clone GLUL/8996R) as confirmation of integrity and purity.
Availability 1-3 business days
Species Reactivity Human
Format Purified
Clonality Recombinant Rabbit Monoclonal
Isotype Rabbit IgG, kappa
Clone Name GLUL/8996R
Purity Protein A/G affinity
UniProt P15104
Localization Cytoplasm
Applications Immunohistochemistry (FFPE) : 1-2ug/ml for 30 min at RT
Western Blot : 2-4ug/ml
Limitations This Glutamine Synthetase antibody is available for research use only.
Review this product on BioCompare and get a $20 Amazon gift card

Related Products

Description

Glutamine synthetase (Gl Syn) forms a homo-octamer that serves as a catalyst for the amination of glutamic acid to form glutamine. This enzyme is a marker for astrocytes, which serve as the primary site of conversion of glutamic acid to glutamine in the brain. Induction of glutamine synthetase is seen upon astrocyte cell contact with neurons. Elevated expression of glutamine synthetase in glial cells has been shown to protect neurons from degeneration due to excess glutamate. Glutamine synthetase is also present in the liver and is involved in nitrogen homeostasis. Overexpression of glutamine synthetase has been shown in primary liver cancers, indicating a potential role for glutamine synthetase in hepatocyte transformation.

Application Notes

Optimal dilution of the Glutamine Synthetase antibody should be determined by the researcher.

Immunogen

A recombinant partial protein sequence (within amino acids 200-373) from the human protein was used as the immunogen for the Glutamine Synthetase antibody.

Storage

Aliquot the Glutamine Synthetase antibody and store frozen at -20oC or colder. Avoid repeated freeze-thaw cycles.

Cross
Bulk Quote Request Form
Name*:
Organization*:
Email*:
Phone Number*:
Catalog No.*:
Comments and Specifics(amount, formulation, etc.)*:
Validation code: Captchapackage Image


Can't read the image? click here to refresh.
    *required field

Your bulk quote request has been submitted successfully!

Please contact us if you have any questions.