• Tel: 858.663.9055
  • SeparatorEmail: info@nsjbio.com
  • Tel: 858.663.9055
  • Email: info@nsjbio.com
Home >> Antibodies >> Glutaminase Antibody / GLS

Glutaminase Antibody / GLS (F54260)

  Catalog No Formulation Size Price (USD)  
Image F54260-0.2ML In 1X PBS, pH 7.4, with 0.09% sodium azide 0.2 ml 429
Image
F54260-0.05ML In 1X PBS, pH 7.4, with 0.09% sodium azide 0.05 ml 199
Bulk quote request
Immunofluorescent staining of fixed and permeabilized human HepG2 cells with Glutaminase antibody (green), DAPI nuclear stain (blue) and anti-Actin (red).
Immunofluorescent staining of fixed and permeabilized human U-251 cells with Glutaminase antibody (green), DAPI nuclear stain (blue) and anti-Actin (red).
Western blot testing of human 293 cell lysate with Glutaminase antibody. Predicted molecular weight: 65-73 kDa.
Western blot testing of 1) human brain, 2) mouse brain and 3) human 293T cell lysate with Glutaminase antibody. Predicted molecular weight: 65-73 kDa.
Western blot testing of 1) human brain, 2) human kidney and 3) mouse brain lysate with Glutaminase antibody. Predicted molecular weight: 65-73 kDa.
Western blot testing of 1) human brain, 2) mouse brain and 3) rat kidney lysate with Glutaminase antibody. Predicted molecular weight: 65-73 kDa.
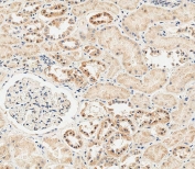
IHC testing of FFPE human kidney tissue with Glutaminase antibody. HIER: steam section in pH6 citrate buffer for 20 min and allow to cool prior to staining.
IHC testing of FFPE human brain tissue with Glutaminase antibody. HIER: steam section in pH6 citrate buffer for 20 min and allow to cool prior to staining.
Flow cytometry testing of fixed and permeabilized human U-2 OS cells with Glutaminase antibody; Blue=isotype control, Green= Glutaminase antibody.
Availability 1-3 business days
Species Reactivity Human, Mouse, Rat
Format Purified
Clonality Polyclonal (rabbit origin)
Isotype Rabbit Ig
Purity Antigen affinity purified
UniProt O94925
Gene ID 2744
Localization Cytoplasmic
Applications Western Blot : 1:1000-1:2000
Immunofluorescence : 1:25
Immunohistochemistry (FFPE) : 1:100-1:200
Flow Cytometry : 1:25 (per 1x10e6 cells)
Limitations This Glutaminase antibody is available for research use only.
Review this product on BioCompare and get a $20 Amazon gift card

Related Products

Description

Sahai (1983) demonstrated phosphate-activated glutaminase (EC 3.5.1.2) in human platelets. It is the major enzyme yielding glutamate from glutamine. Significance of the enzyme derives from its possible implication in behavior disturbances in which glutamate acts as a neurotransmitter (Prusiner, 1981). High heritability of platelet glutaminase was indicated by studies of Sahai and Vogel (1983) [PubMed 6682827] who found an intraclass correlation coefficient of 0.96 for monozygotic twins and 0.53 for dizygotic twins.

Application Notes

The stated application concentrations are suggested starting points. Titration of the Glutaminase antibody may be required due to differences in protocols and secondary/substrate sensitivity.

Immunogen

A portion of amino acids 516-545 from the human protein were used as the immunogen for the Glutaminase antibody.

Storage

Aliquot the Glutaminase antibody and store frozen at -20oC or colder. Avoid repeated freeze-thaw cycles.

Cross
Bulk Quote Request Form
Name*:
Organization*:
Email*:
Phone Number*:
Catalog No.*:
Comments and Specifics(amount, formulation, etc.)*:
Validation code: Captchapackage Image


Can't read the image? click here to refresh.
    *required field

Your bulk quote request has been submitted successfully!

Please contact us if you have any questions.