• Tel: 858.663.9055
  • SeparatorEmail: info@nsjbio.com
  • Tel: 858.663.9055
  • Email: info@nsjbio.com
Home >> Antibodies >> GLUR2 Antibody / Glutamate Receptor 2 / GRIA2

GLUR2 Antibody / Glutamate Receptor 2 / GRIA2 (R31618)

  Catalog No Formulation Size Price (USD)  
Image R31618 0.5mg/ml if reconstituted with 0.2ml sterile DI water 100 ug 439
Bulk quote request
Immunofluorescent staining of FFPE human T-47D cells with GLUR2 antibody (green) and DAPI nuclear stain (blue). HIER: steam section in pH6 citrate buffer for 20 min.
Immunofluorescent staining of FFPE mouse brain tissue with GLUR2 antibody (green) and DAPI nuclear stain (blue). HIER: steam section in pH6 citrate buffer for 20 min.
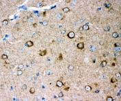
IHC staining of FFPE mouse brain with GLUR2 antibody. HIER: boil tissue sections in pH6, 10mM citrate buffer, for 10-20 min and allow to cool before testing.
IHC staining of FFPE rat brain with GLUR2 antibody. HIER: boil tissue sections in pH6, 10mM citrate buffer, for 10-20 min and allow to cool before testing.
IHC staining of frozen rat brain tissue with GLUR2 antibody.
Western blot testing of 1) rat brain, 2) rat C6 and 3) mouse brain lysate with GLUR2 antibody. Predicted molecular weight ~99 kDa.
Flow cytometry testing of human U-87 MG cells with GLUR2 antibody at 1ug/million cells (blocked with goat sera); Red=cells alone, Green=isotype control, Blue= GLUR2 antibody.
Availability 1-3 business days
Species Reactivity Human, Mouse, Rat
Format Antigen affinity purified
Clonality Polyclonal (rabbit origin)
Isotype Rabbit IgG
Purity Antigen affinity
Buffer Lyophilized from 1X PBS with 2.5% BSA and 0.025% sodium azide
UniProt P42262
Gene ID 14800
Localization Cell membrane, cytoplasmic
Applications Western Blot : 0.5-1ug/ml
Immunohistochemistry (FFPE) : 0.5-1ug/ml
Immunofluorescence : 2ug/ml
Flow Cytometry : 1-3ug/million cells
Limitations This GLUR2 antibody is available for research use only.
Review this product on BioCompare and get a $20 Amazon gift card

Description

Glutamate receptor 2, also known as GLUR2, is a protein that in humans is encoded by the GRIA2 gene. This gene product belongs to a family of glutamate receptors that are sensitive to alpha-amino-3-hydroxy-5-methyl-4-isoxazole propionate (AMPA), and function as ligand-activated cation channels. The crystal structures of the GLUR2 ligand-binding core in the apo state and in the presence of the antagonist DNQX, the partial agonist kainate, and the full agonists AMPA and glutamate. GLUR2 plays a major role in depression at synapses in which glutamate remains in the synaptic cleft for prolonged periods of time during normal operation of the synapse. Overexpression increases dendritic spine size and density in hippocampal neurons, and more remarkably, induces spine formation in GABA-releasing interneurons that normally lack spines.

Application Notes

The stated application concentrations are suggested starting amounts. Titration of the GLUR2 antibody may be required due to differences in protocols and secondary/substrate sensitivity.

Immunogen

Human partial recombinant protein (AA 25-360) was used as the immunogen for this GLUR2 antibody.

Storage

After reconstitution, the GLUR2 antibody can be stored for up to one month at 4oC. For long-term, aliquot and store at -20oC. Avoid repeated freezing and thawing.

Cross
Bulk Quote Request Form
Name*:
Organization*:
Email*:
Phone Number*:
Catalog No.*:
Comments and Specifics(amount, formulation, etc.)*:
Validation code: Captchapackage Image


Can't read the image? click here to refresh.
    *required field

Your bulk quote request has been submitted successfully!

Please contact us if you have any questions.