• Tel: 858.663.9055
  • SeparatorEmail: info@nsjbio.com
  • Tel: 858.663.9055
  • Email: info@nsjbio.com
Home >> Antibodies >> GLUL Antibody

GLUL Antibody (F54251)

  Catalog No Formulation Size Price (USD)  
Image F54251-0.4ML In 1X PBS, pH 7.4, with 0.09% sodium azide 0.4 ml 429
Image
F54251-0.08ML In 1X PBS, pH 7.4, with 0.09% sodium azide 0.08 ml 199
Bulk quote request
Western blot testing of 1) human HeLa, 2) human HT-29, 3) human Jurkat, 4) mouse brain, 5) mouse cerebellum and 6) rat cerebellum lysate with GLUL antibody. Predicted molecular weight ~42 kDa.
Western blot testing of human 1) HeLa, 2) Raji, 3) Jurkat and 4) HT-29 lysate with GLUL antibody. Predicted molecular weight ~42 kDa.
Western blot testing of human 1) HeLa, 2) Jurkat, 3) HT-29 and 4) MOLT4 lysate with GLUL antibody. Predicted molecular weight ~42 kDa.
Western blot testing of 1) mouse brain, 2) human HeLa and 3) human Jurkat lysate with GLUL antibody. Predicted molecular weight ~42 kDa.
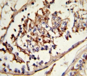
IHC testing of FFPE human testis tissue with GLUL antibody. HIER: steam section in pH6 citrate buffer for 20 min and allow to cool prior to staining.
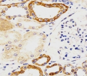
IHC testing of FFPE human kidney tissue with GLUL antibody. HIER: steam section in pH6 citrate buffer for 20 min and allow to cool prior to staining.
IHC testing of FFPE human liver tissue with GLUL antibody. HIER: steam section in pH6 citrate buffer for 20 min and allow to cool prior to staining.
Availability 1-3 business days
Species Reactivity Human, Mouse
Format Purified
Clonality Polyclonal (rabbit origin)
Isotype Rabbit Ig
Purity Antigen affinity purified
UniProt P15104
Gene ID 2752
Localization Cytoplasmic, plasma membrane
Applications Western Blot : 1:1000-1:2000
Immunohistochemistry (FFPE) : 1:25
Limitations This GLUL antibody is available for research use only.
Review this product on BioCompare and get a $20 Amazon gift card

Related Products

Description

GLUL belongs to the glutamine synthetase family. It catalyzes the synthesis of glutamine from glutamate and ammonia. Glutamine is a main source of energy and is involved in cell proliferation, inhibition of apoptosis, and cell signaling.

Application Notes

The stated application concentrations are suggested starting points. Titration of the GLUL antibody may be required due to differences in protocols and secondary/substrate sensitivity.

Immunogen

A portion of amino acids 70-96 from the human protein were used as the immunogen for the GLUL antibody.

Storage

Aliquot the GLUL antibody and store frozen at -20oC or colder. Avoid repeated freeze-thaw cycles.

Cross
Bulk Quote Request Form
Name*:
Organization*:
Email*:
Phone Number*:
Catalog No.*:
Comments and Specifics(amount, formulation, etc.)*:
Validation code: Captchapackage Image


Can't read the image? click here to refresh.
    *required field

Your bulk quote request has been submitted successfully!

Please contact us if you have any questions.