- Tel: 858.663.9055
- 
									 Email: info@nsjbio.com Email: info@nsjbio.com
- Tel: 858.663.9055
- Email: info@nsjbio.com
 Email: info@nsjbio.com
Email: info@nsjbio.com
								Related Products
| 
 | 
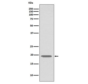
The pancreas releases glucagon when the concentration of insulin (and indirectly glucose) in the bloodstream falls too low. Glucagon causes the liver to convert stored glycogen into glucose, which is released into the bloodstream. [Wiki]
Optimal dilution of the Glucagon antibody should be determined by the researcher.
A synthetic peptide specific to human Glucagon was used as the immunogen for the Glucagon antibody.
Store the Glucagon antibody at -20oC.
 
Your bulk quote request has been submitted successfully!
Please contact us if you have any questions.