• Tel: 858.663.9055
  • SeparatorEmail: info@nsjbio.com
  • Tel: 858.663.9055
  • Email: info@nsjbio.com
Home >> Antibodies >> GLS Antibody / Glutaminase

GLS Antibody / Glutaminase (RQ5691)

  Catalog No Formulation Size Price (USD)  
Image RQ5691 0.5mg/ml if reconstituted with 0.2ml sterile DI water 100 ug 439
Bulk quote request
Immunofluorescent staining of FFPE human U-2 OS cells with GLS antibody (green) and DAPI nuclear stain (blue). HIER: steam section in pH6 citrate buffer for 20 min.
IHC staining of FFPE human stomach cancer with GLS antibody. HIER: boil tissue sections in pH8 EDTA for 20 min and allow to cool before testing.
IHC staining of FFPE rat brain with GLS antibody. HIER: boil tissue sections in pH8 EDTA for 20 min and allow to cool before testing.
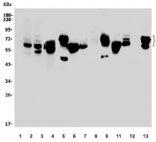
Western blot testing of 1) human placenta, 2) human U-87 MG, 3) human HeLa, 4) monkey kidney, 5) rat brain, 6) rat kidney, 7) rat heart, 8) rat skeletal muscle, 9) mouse brain, 10) mouse kidney, 11) mouse heart, 12) mouse skeletal muscle and 13) mouse Neuro-2a antibody. Predicted molecular weigh: 65-73 kDa.
Flow cytometry testing of human 293T cells with GLS antibody at 1ug/million cells (blocked with goat sera); Red=cells alone, Green=isotype control, Blue= GLS antibody.
Flow cytometry testing of human SiHa cells with GLS antibody at 1ug/million cells (blocked with goat sera); Red=cells alone, Green=isotype control, Blue= GLS antibody.
Availability 1-3 business days
Species Reactivity Human, Mouse, Rat, Monkey
Format Antigen affinity purified
Clonality Polyclonal
Isotype Rabbit IgG
Purity Affinity purified
Buffer Lyophilized from 1X PBS with 2% Trehalose and 0.025% sodium azide
UniProt O94925
Applications Western Blot : 0.5-1ug/ml
Immunohistochemistry : 1-2ug/ml
Immunofluorescence : 2-4ug/ml
Flow Cytometry : 1-3ug/million cells
Direct ELISA : 0.1-0.5ug/ml
Limitations This GLS antibody is available for research use only.
Review this product on BioCompare and get a $20 Amazon gift card

Related Products

Description

This gene encodes the K-type mitochondrial glutaminase. The encoded protein is an phosphate-activated amidohydrolase that catalyzes the hydrolysis of glutamine to glutamate and ammonia. This protein is primarily expressed in the brain and kidney plays an essential role in generating energy for metabolism, synthesizing the brain neurotransmitter glutamate and maintaining acid-base balance in the kidney. Alternate splicing results in multiple transcript variants.

Application Notes

Optimal dilution of the GLS antibody should be determined by the researcher.

Immunogen

Recombinant human protein (amino acids K396-N654) was used as the immunogen for the GLS antibody.

Storage

After reconstitution, the GLS antibody can be stored for up to one month at 4oC. For long-term, aliquot and store at -20oC. Avoid repeated freezing and thawing.

Cross
Bulk Quote Request Form
Name*:
Organization*:
Email*:
Phone Number*:
Catalog No.*:
Comments and Specifics(amount, formulation, etc.)*:
Validation code: Captchapackage Image


Can't read the image? click here to refresh.
    *required field

Your bulk quote request has been submitted successfully!

Please contact us if you have any questions.