- Tel: 858.663.9055
- 
									 Email: info@nsjbio.com Email: info@nsjbio.com
- Tel: 858.663.9055
- Email: info@nsjbio.com
 Email: info@nsjbio.com
Email: info@nsjbio.com
								Related Products
| 
 | 
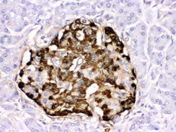
GLP1, also known as 7-37 for the codons of the preproglucagon molecule which encode it, renders pancreatic beta-cells 'glucose-competent' and may be useful in the treatment of noninsulin-dependent diabetes mellitus. Also, GLP1 is a potent insulin secretagogue. It plays a major role in the enteroinsular axis, accounting, for example, for the finding that plasma insulin levels accompanying oral intake of glucose are greater than those observed when glucose is given intravenously.
Optimal dilution of the GLP-1 antibody should be determined by the researcher.
Amino acids HSQGTFTSDYSKYLDSRRAQDFVQWLMNT of human Glucagon-like peptide 1 were used as the immunogen for the GLP-1 antibody.
After reconstitution, the GLP-1 antibody can be stored for up to one month at 4oC. For long-term, aliquot and store at -20oC. Avoid repeated freezing and thawing.
 
Your bulk quote request has been submitted successfully!
Please contact us if you have any questions.