• Tel: 858.663.9055
  • SeparatorEmail: info@nsjbio.com
  • Tel: 858.663.9055
  • Email: info@nsjbio.com
Home >> Antibodies >> GLO1 Antibody / Glyoxalase I

GLO1 Antibody / Glyoxalase I (RQ4238)

  Catalog No Formulation Size Price (USD)  
Image RQ4238 0.5mg/ml if reconstituted with 0.2ml sterile DI water 100 ug 439
Bulk quote request
Western blot testing of human 1) HeLa, 2) placenta, 3) MCF7, 4) COLO320, 5) 22RV1, 6) HepG2, 7) A431 and 8) U937 lysate with GLO1 antibody at 0.5ug/ml. Predicted molecular weight ~21 kDa.
Western blot testing of rat 1) brain, 2) testis, 3) spleen, 4) thymus and mouse 5) brain, 6) testis, 7) thymus and 8) liver lysate with GLO1 antibody at 0.5ug/ml. Predicted molecular weight ~21 kDa.
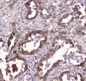
IHC testing of FFPE human lung cancer tissue with GLO1 antibody at 1ug/ml. Required HIER: steam section in pH6 citrate buffer for 20 min and allow to cool prior to staining.
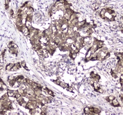
IHC testing of FFPE human breast cancer tissue with GLO1 antibody at 1ug/ml. Required HIER: steam section in pH6 citrate buffer for 20 min and allow to cool prior to staining.
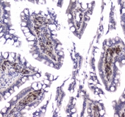
IHC testing of FFPE rat small intestine tissue with GLO1 antibody at 1ug/ml. Required HIER: steam section in pH6 citrate buffer for 20 min and allow to cool prior to staining.
IHC testing of FFPE rat spleen tissue with GLO1 antibody at 1ug/ml. Required HIER: steam section in pH6 citrate buffer for 20 min and allow to cool prior to staining.
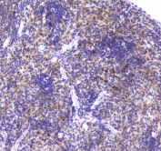
IHC testing of FFPE mouse spleen tissue with GLO1 antibody at 1ug/ml. Required HIER: steam section in pH6 citrate buffer for 20 min and allow to cool prior to staining.
Western blot testing of human 1) HeLa, 2) MCF7, 3) COLO-320, 4) 22RV1, 5) HepG2, 6) A431, 7) U937 and 8) ThP-1 cell lysate with GLO1 antibody at 0.5ug/ml. Predicted molecular weight ~21 kDa.
Western blot testing of 1) rat brain, 2) rat spleen, 3) rat thymus, 4) mouse brain, 5) mouse spleen, 6) mouse thymus and 7) mouse NIH 3T3 cell lysate with GLO1 antibody at 0.5ug/ml. Predicted molecular weight ~21 kDa.
Immunoprecipitation of GLO1 protein from 500ug of human A431 whole cell lysate with 2ug of GLO1 antibody.
Immunofluorescent staining of FFPE human A549 cells with GLO1 antibody (green) and Alpha Tubulin mAb (red). HIER: steam section in pH6 citrate buffer for 20 min.
Availability 1-3 business days
Species Reactivity Human, Mouse, Rat
Format Antigen affinity purified
Clonality Polyclonal (rabbit origin)
Isotype Rabbit IgG
Purity Antigen affinity purified
Buffer Lyophilized from 1X PBS with 2% Trehalose and 0.025% sodium azide
UniProt Q04760
Localization Cytoplasmic, nuclear, membrane
Applications Western Blot : 0.5-1ug/ml
Immunohistochemistry (FFPE) : 1-2ug/ml
Immunoprecipitation : 2ug antibody/500ug lysate
Direct ELISA : 0.1-0.5ug/ml
Immunofluorescence : 5ug/ml
Limitations This GLO1 antibody is available for research use only.
Review this product on BioCompare and get a $20 Amazon gift card

Related Products

Description

GLO1, also known as Glyoxalase I, is a key enzyme of the glyoxalase system, responsible for detoxifying methylglyoxal, a highly reactive byproduct of glycolysis. By catalyzing the conversion of methylglyoxal and glutathione into S-D-lactoylglutathione, GLO1 helps maintain cellular homeostasis and prevents the accumulation of advanced glycation end-products (AGEs), which are implicated in oxidative stress and metabolic dysfunction. This enzymatic activity is essential for protecting proteins, nucleic acids, and lipids from glycation-induced damage.

GLO1 is expressed in a wide range of tissues, with particularly high levels in metabolically active cells such as neurons and hepatocytes. Research has linked altered GLO1 activity to numerous diseases, including diabetes, cancer, and neurodegenerative disorders. In diabetic complications, reduced detoxification of methylglyoxal can contribute to vascular damage, while in cancer, GLO1 overexpression has been associated with enhanced tumor cell survival and resistance to oxidative stress. Additionally, variations in GLO1 expression and activity have been studied in psychiatric conditions, including anxiety-related behaviors.

A GLO1 antibody is an essential research tool for detecting and analyzing protein expression in both physiological and pathological settings. Applications of a GLO1 antibody include western blotting, immunohistochemistry, and immunofluorescence, making it suitable for investigations into metabolic regulation, stress responses, and disease progression. NSJ Bioreagents provides a GLO1 antibody designed for high specificity and performance, enabling researchers to explore the diverse biological roles of this enzyme.

Application Notes

Optimal dilution of the GLO1 antibody should be determined by the researcher.

Immunogen

A recombinant human protein corresponding to amino acids A2-M184 was used as the immunogen for the GLO1 antibody.

Storage

After reconstitution, the GLO1 antibody can be stored for up to one month at 4oC. For long-term, aliquot and store at -20oC. Avoid repeated freezing and thawing.

Cross
Bulk Quote Request Form
Name*:
Organization*:
Email*:
Phone Number*:
Catalog No.*:
Comments and Specifics(amount, formulation, etc.)*:
Validation code: Captchapackage Image


Can't read the image? click here to refresh.
    *required field

Your bulk quote request has been submitted successfully!

Please contact us if you have any questions.