• Tel: 858.663.9055
  • SeparatorEmail: info@nsjbio.com
  • Tel: 858.663.9055
  • Email: info@nsjbio.com
Home >> Antibodies >> GLI2 Antibody

GLI2 Antibody (R36484)

  Catalog No Formulation Size Price (USD)  
Image R36484-100UG 0.5 mg/ml in 1X TBS, pH7.3, with 0.5% BSA (US sourced) and 0.02% sodium azide 100 ug 449
Bulk quote request
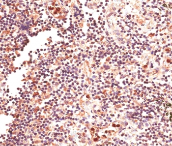
IHC testing of FFPE human lymph node tissue with GLI2 antibody at 4ug/ml. HIER: steam section in pH6 citrate buffer for 20 min.
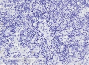
IHC testing of FFPE human lymph node tissue without GLI2 antibody (negative control). HIER: steam section in pH6 citrate buffer for 20 min.
Availability 1-3 business days
Species Reactivity Human, Mouse
Format Antigen affinity purified
Clonality Polyclonal (goat origin)
Isotype Goat Ig
Purity Antigen affinity
UniProt P10070
Localization Cytoplasmic, nuclear
Applications IHC (FFPE) : 4-6ug/ml
ELISA (peptide) LOD : 1:16000
Limitations This GLI2 antibody is available for research use only.
Review this product on BioCompare and get a $20 Amazon gift card

Related Products

  • Applications : WB
    Reactivity : Human
  • Applications : WB, FACS, IF, ELISA
    Reactivity : Human
  • Applications : WB, IHC-P, IF, FACS, Direct ELISA
    Reactivity : Human, Rat

Description

Functions as transcription regulator in the hedgehog (Hh) pathway. [UniProt]

Application Notes

Optimal dilution of the GLI2 antibody should be determined by the researcher.

Immunogen

Amino acids DLKEDLDRDDCKQE were used as the immunogen for this GLI2 antibody.

Storage

Aliquot and store the GLI2 antibody at -20oC.

Cross
Bulk Quote Request Form
Name*:
Organization*:
Email*:
Phone Number*:
Catalog No.*:
Comments and Specifics(amount, formulation, etc.)*:
Validation code: Captchapackage Image


Can't read the image? click here to refresh.
    *required field

Your bulk quote request has been submitted successfully!

Please contact us if you have any questions.