• Tel: 858.663.9055
  • SeparatorEmail: info@nsjbio.com
  • Tel: 858.663.9055
  • Email: info@nsjbio.com
Home >> Antibodies >> GJC1 Antibody / Connexin 45

GJC1 Antibody / Connexin 45 (R32717)

  Catalog No Formulation Size Price (USD)  
Image R32717 0.5mg/ml if reconstituted with 0.2ml sterile DI water 100 ug 439
Bulk quote request
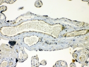
IHC testing of FFPE human intestinal cancer tissue with GJC1 antibody at 1ug/ml. Required HIER: steam section in pH6 citrate buffer for 20 min and allow to cool prior to testing.
IHC testing of FFPE human placenta tissue with GJC1 antibody at 1ug/ml. Required HIER: steam section in pH6 citrate buffer for 20 min and allow to cool prior to testing.
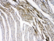
IHC testing of FFPE mouse heart tissue with GJC1 antibody at 1ug/ml. Required HIER: steam section in pH6 citrate buffer for 20 min and allow to cool prior to testing.
IHC testing of FFPE rat skeletal muscle tissue with GJC1 antibody at 1ug/ml. Required HIER: steam section in pH6 citrate buffer for 20 min and allow to cool prior to testing.
Western blot testing of rat testis lysate with GJC1 antibody at 0.5ug/ml. Predicted molecular weight ~45 kDa.
Availability 1-3 business days
Species Reactivity Human, Mouse, Rat
Format Antigen affinity purified
Clonality Polyclonal (rabbit origin)
Isotype Rabbit IgG
Purity Antigen affinity
Buffer Lyophilized from 1X PBS with 2.5% BSA, 0.025% sodium azide
UniProt P36383
Localization Membrane, cell junction
Applications Western Blot : 0.5-1ug/ml
IHC (FFPE) : 1-2ug/ml
Limitations This GJC1 antibody is available for research use only.
Review this product on BioCompare and get a $20 Amazon gift card

Related Products

Description

Gap junction gamma-1 protein (GJC1), also known as gap junction alpha-7 protein (GJA7) or connexin 45 (Cx45), is a protein that in humans is encoded by the GJC1 gene. The International Radiation Hybrid Mapping Consortium mapped the GJA7 gene to chromosome 17q21.31. This gene is a member of the connexin gene family. The encoded protein is a component of gap junctions, which are composed of arrays of intercellular channels that provide a route for the diffusion of low molecular weight materials from cell to cell.

Application Notes

Optimal dilution of the GJC1 antibody should be determined by the researcher.

Immunogen

Amino acids 91-131 (YLGYAIHKIAKMEHGEADKKAARSKPYAMRWKQHRALEETE) from the human protein were used as the immunogen for the GJC1 antibody.

Storage

After reconstitution, the GJC1 antibody can be stored for up to one month at 4oC. For long-term, aliquot and store at -20oC. Avoid repeated freezing and thawing.

Cross
Bulk Quote Request Form
Name*:
Organization*:
Email*:
Phone Number*:
Catalog No.*:
Comments and Specifics(amount, formulation, etc.)*:
Validation code: Captchapackage Image


Can't read the image? click here to refresh.
    *required field

Your bulk quote request has been submitted successfully!

Please contact us if you have any questions.