• Tel: 858.663.9055
  • SeparatorEmail: info@nsjbio.com
  • Tel: 858.663.9055
  • Email: info@nsjbio.com
Home >> Antibodies >> GIT1 Antibody / p95-APP1

GIT1 Antibody / p95-APP1 (RQ6635)

  Catalog No Formulation Size Price (USD)  
Image RQ6635 0.5mg/ml if reconstituted with 0.2ml sterile DI water 100 ug 439
Bulk quote request
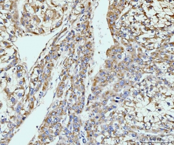
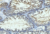
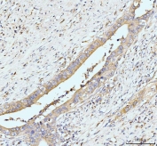
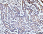
IHC staining of FFPE human liver cancer tissue with GIT1 antibody. HIER: boil tissue sections in pH8 EDTA for 20 min and allow to cool before testing.
IHC staining of FFPE human gastric adenocarcinoma tissue with GIT1 antibody. HIER: boil tissue sections in pH8 EDTA for 20 min and allow to cool before testing.
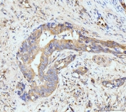
IHC staining of FFPE human lung cancer tissue with GIT1 antibody. HIER: boil tissue sections in pH8 EDTA for 20 min and allow to cool before testing.
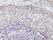
IHC staining of FFPE human gall bladder adenosquamous carcinoma tissue with GIT1 antibody. HIER: boil tissue sections in pH8 EDTA for 20 min and allow to cool before testing.
IHC staining of FFPE human appendiceal adenocarcinoma tissue with GIT1 antibody. HIER: boil tissue sections in pH8 EDTA for 20 min and allow to cool before testing.
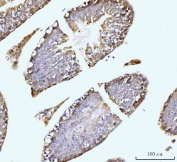
IHC staining of FFPE mouse testis tissue with GIT1 antibody. HIER: boil tissue sections in pH8 EDTA for 20 min and allow to cool before testing.
IHC staining of FFPE rat testis tissue with GIT1 antibody. HIER: boil tissue sections in pH8 EDTA for 20 min and allow to cool before testing.
Immunofluorescent staining of FFPE human A549 cells with GIT1 antibody (green) and DAPI nuclear stain (blue). HIER: steam section in pH6 citrate buffer for 20 min.
Western blot testing of 1) human A549, 2) human HACAT, 3) human Jurkat, 4) rat brain and 5) mouse brain tissue lysate with GIT1 antibody. Expected molecular weight: 84-95 kDa.
Flow cytometry testing of human JK-1 cells with GIT1 antibody at 1ug/million cells (blocked with goat sera); Red=cells alone, Green=isotype control, Blue= GIT1 antibody.
Availability 1-3 business days
Species Reactivity Human, Mouse, Rat
Format Antigen affinity purified
Clonality Polyclonal (rabbit origin)
Isotype Rabbit IgG
Purity Antigen affinity purified
Buffer Lyophilized from 1X PBS with 2% Trehalose
UniProt Q9Y2X7
Localization Cytoplasmic
Applications Western Blot : 1-2ug/ml
Immunohistochemistry (FFPE) : 2-5ug/ml
Immunofluorescence (FFPE) : 5ug/ml
Flow Cytometry : 1-3ug/million cells
Direct ELISA : 0.1-0.5ug/ml
Limitations This GIT1 antibody is available for research use only.
Review this product on BioCompare and get a $20 Amazon gift card

Related Products

  • Applications : WB, FACS
    Reactivity : Human, Mouse

Description

ARF GTPase-activating protein GIT1 is an enzyme that in humans is encoded by the GIT1 gene. G-protein coupled receptor (GPCR) kinase interacting proteins 1 and 2 (GIT-1 and GIT-2) are highly conserved, ubiquitous scaffold proteins involved in localized signaling to help regulate focal contact assembly and cytoskeletal dynamics. GIT proteins contain multiple interaction domains that allow interaction with small GTPases (including ARF, Rac and cdc42), kinases (such as PAK and MEK), the Rho family GEF PIX, and the focal adhesion protein paxillin. GIT-1 is localized to focal adhesions, cytoplasmic complexes and membrane protrusions, and regulates cell protrusion formation and cell migration. GIT-1 has also been implicated in neuronal functions including synapse formation and the pathology of Huntington disease. Huntington disease is a genetic neurodegenerative condition involving a mutation in the huntington gene. The huntington gene product (htt) is ubiquitinated and degraded in human Huntington disease brains. Htt interacts directly with GIT-1 causing enhanced htt proteolysis, indicating that GIT-1 distribution and function may contribute to Huntington disease pathology.

Application Notes

Optimal dilution of the GIT1 antibody should be determined by the researcher.

Immunogen

Recombinant human protein (amino acids D415-Q736) was used as the immunogen for the GIT1 antibody.

Storage

After reconstitution, the GIT1 antibody can be stored for up to one month at 4oC. For long-term, aliquot and store at -20oC. Avoid repeated freezing and thawing.

Cross
Bulk Quote Request Form
Name*:
Organization*:
Email*:
Phone Number*:
Catalog No.*:
Comments and Specifics(amount, formulation, etc.)*:
Validation code: Captchapackage Image


Can't read the image? click here to refresh.
    *required field

Your bulk quote request has been submitted successfully!

Please contact us if you have any questions.