- Tel: 858.663.9055
- 
									 Email: info@nsjbio.com Email: info@nsjbio.com
- Tel: 858.663.9055
- Email: info@nsjbio.com
 Email: info@nsjbio.com
Email: info@nsjbio.com
								Related Products
| 
 | 
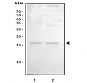
GIP antibody detects Gastric inhibitory polypeptide, also known as Glucose-dependent insulinotropic polypeptide (GIP), a peptide hormone that plays a major role in nutrient-stimulated insulin secretion and glucose metabolism. The UniProt recommended name is Gastric inhibitory polypeptide (GIP). This hormone belongs to the incretin family and is secreted by enteroendocrine K-cells of the small intestine in response to nutrient ingestion, particularly dietary fat and carbohydrates. GIP functions as an endocrine regulator linking intestinal nutrient absorption to pancreatic insulin release.
Functionally, GIP antibody identifies a 153-amino-acid prepropeptide that is processed into the biologically active GIP(1-42) hormone. Upon food intake, GIP binds to its receptor, GIPR, a G-protein-coupled receptor expressed on pancreatic beta cells, adipocytes, and neurons. Activation of GIPR stimulates adenylate cyclase, elevates intracellular cAMP, and promotes insulin secretion in a glucose-dependent manner. This incretin effect enhances postprandial glucose clearance and energy storage, contributing to overall glucose homeostasis.
The GIP gene is located on chromosome 17q21.32 and encodes a peptide precursor that undergoes proteolytic processing by prohormone convertases in intestinal K-cells. GIP secretion is triggered by nutrient sensing through transporters and receptors such as SGLT1 and fatty acid sensors. In addition to stimulating insulin release, GIP influences lipid metabolism, promoting triglyceride deposition in adipose tissue and modulating lipoprotein lipase activity. Its actions are balanced with those of GLP-1, another incretin hormone derived from L-cells in the distal intestine.
Physiologically, GIP contributes to the enteroinsular axis, the communication network between gut and pancreas that fine-tunes energy metabolism. In adipose tissue, GIP enhances insulin sensitivity and facilitates energy storage, while in bone, it exerts anabolic effects by stimulating osteoblast activity. In the central nervous system, GIPR activation may influence appetite regulation and neuroprotection. GIP levels rise rapidly after meals, with secretion tightly coupled to nutrient load and composition.
Dysregulation of GIP signaling plays a significant role in metabolic disorders such as obesity, insulin resistance, and type 2 diabetes mellitus. In these conditions, GIP secretion often remains normal, but GIPR responsiveness in pancreatic beta cells and adipocytes is reduced. This GIP resistance contributes to impaired insulin secretion and altered lipid metabolism. Therapeutic strategies targeting the GIP pathway include GIP analogs and dual GIP/GLP-1 receptor agonists that improve glycemic control and weight management.
GIP antibody is widely used in endocrinology, metabolism, and diabetes research. It is suitable for immunohistochemistry, ELISA, and western blotting to detect GIP peptide expression in intestinal tissue, pancreas, and circulation. This antibody supports studies of incretin biology, glucose regulation, and hormone secretion. In translational research, it aids in characterizing the mechanisms of incretin-based therapies and their metabolic outcomes. GIP detection is also employed in assessing enteroendocrine cell distribution and functional activation.
Structurally, GIP is a 42-amino-acid peptide containing a single disulfide bond essential for receptor binding and activity. The GIPR is a class B GPCR that activates cAMP-dependent signaling cascades and secondary pathways such as PKA and Epac2. NSJ Bioreagents provides GIP antibody reagents validated for use in hormonal regulation, metabolism, and diabetes research, facilitating the study of incretin signaling in health and disease.
Optimal dilution of the GIP antibody should be determined by the researcher.
Amino acids Y52-Q93 from the human protein were used as the immunogen for the GIP antibody.
After reconstitution, the GIP antibody can be stored for up to one month at 4oC. For long-term, aliquot and store at -20oC. Avoid repeated freezing and thawing.
 
Your bulk quote request has been submitted successfully!
Please contact us if you have any questions.