• Tel: 858.663.9055
  • SeparatorEmail: info@nsjbio.com
  • Tel: 858.663.9055
  • Email: info@nsjbio.com
Home >> Antibodies >> Gilt Antibody / Ifi30

Gilt Antibody / Ifi30 (RQ5820)

  Catalog No Formulation Size Price (USD)  
Image RQ5820 0.5mg/ml if reconstituted with 0.2ml sterile DI water 100 ug 439
Bulk quote request
Immunofluorescent staining of FFPE mouse lymph tissue with Gilt antibody (red) and DAPI nuclear stain (blue). HIER: steam section in pH6 citrate buffer for 20 min.
Immunofluorescent staining of FFPE rat thymus tissue with Gilt antibody (red) and DAPI nuclear stain (blue). HIER: steam section in pH6 citrate buffer for 20 min.
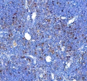
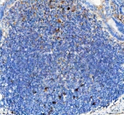
IHC staining of FFPE mouse lymph tissue with Gilt antibody. HIER: boil tissue sections in pH8 EDTA for 20 min and allow to cool before testing.
IHC staining of FFPE mouse thymus tissue with Gilt antibody. HIER: boil tissue sections in pH8 EDTA for 20 min and allow to cool before testing.
IHC staining of FFPE rat lymph tissue with Gilt antibody. HIER: boil tissue sections in pH8 EDTA for 20 min and allow to cool before testing.
Western blot testing of mouse RAW264.7 lysate with Gilt antibody. Expected molecular weight: 33-35 kDa (pro form), 25-30 kDa (mature form), 50-60 kDa (homodimer).
Flow cytometry testing of mouse RAW264.7 cells with Gilt antibody at 1ug/million cells (blocked with goat sera); Red=cells alone, Green=isotype control, Blue= Gilt antibody.
Availability 1-3 business days
Species Reactivity Mouse, Rat
Format Antigen affinity purified
Clonality Polyclonal (rabbit origin)
Isotype Rabbit IgG
Purity Affinity purified
Buffer Lyophilized from 1X PBS with 2% Trehalose
UniProt Q9ESY9
Applications Western Blot : 0.5-1ug/ml
Immunohistochemistry : 1-2ug/ml
Flow Cytometry : 1-3ug/million cells
Immunofluorescence : 5ug/ml
Limitations This Gilt antibody is available for research use only.
Review this product on BioCompare and get a $20 Amazon gift card

Related Products

Description

Gamma-interferon-inducible lysosomal thiol reductase is an enzyme that, in humans, is encoded by the IFI30 gene. The protein encoded by this gene is a lysosomal thiol reductase that at low pH can reduce protein disulfide bonds. The enzyme is expressed constitutively in antigen-presenting cells and induced by gamma-interferon in other cell types. This enzyme has an important role in MHC class II-restricted antigen processing.

Application Notes

Optimal dilution of the Gilt antibody should be determined by the researcher.

Immunogen

Amino acids QLMHENAQLTDALHPPHEY from the mouse protein were used as the immunogen for the Gilt antibody.

Storage

After reconstitution, the Gilt antibody can be stored for up to one month at 4oC. For long-term, aliquot and store at -20oC. Avoid repeated freezing and thawing.

Cross
Bulk Quote Request Form
Name*:
Organization*:
Email*:
Phone Number*:
Catalog No.*:
Comments and Specifics(amount, formulation, etc.)*:
Validation code: Captchapackage Image


Can't read the image? click here to refresh.
    *required field

Your bulk quote request has been submitted successfully!

Please contact us if you have any questions.