• Tel: 858.663.9055
  • SeparatorEmail: info@nsjbio.com
  • Tel: 858.663.9055
  • Email: info@nsjbio.com
Home >> Antibodies >> GIGYF2 Antibody

GIGYF2 Antibody (RQ6634)

  Catalog No Formulation Size Price (USD)  
Image RQ6634 0.5mg/ml if reconstituted with 0.2ml sterile DI water 100 ug 439
Bulk quote request
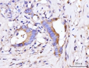
IHC staining of FFPE human gall bladder adenosquamous carcinoma tissue with GIGYF2 antibody. HIER: boil tissue sections in pH8 EDTA for 20 min and allow to cool before testing.
IHC staining of FFPE human colorectal cancer tissue with GIGYF2 antibody. HIER: boil tissue sections in pH8 EDTA for 20 min and allow to cool before testing.
Immunofluorescent staining of FFPE human SiHa cells with GIGYF2 antibody (red) and DAPI nuclear stain (blue). HIER: steam section in pH6 citrate buffer for 20 min.
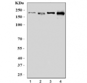
Western blot testing of human 1) HeLa, 2) HEK293, 3) Jurkat and 4) HEL cell lysate with GIGYF2 antibody. Expected molecular weight: 150-180 kDa.
Flow cytometry testing of human JK-1 cells with GIGYF2 antibody at 1ug/million cells (blocked with goat sera); Red=cells alone, Green=isotype control, Blue= GIGYF2 antibody.
Availability 1-3 business days
Species Reactivity Human
Format Antigen affinity purified
Clonality Polyclonal (rabbit origin)
Isotype Rabbit IgG
Purity Antigen affinity purified
Buffer Lyophilized from 1X PBS with 2% Trehalose
UniProt Q6Y7W6
Applications Western Blot : 1-2ug/ml
Immunohistochemistry (FFPE) : 2-5ug/ml
Immunofluorescence (FFPE) : 5ug/ml
Flow Cytometry : 1-3ug/million cells
Direct ELISA : 0.1-0.5ug/ml
Limitations This GIGYF2 antibody is available for research use only.
Review this product on BioCompare and get a $20 Amazon gift card

Related Products

  • Applications : WB
    Reactivity : Human
    Pred. Reactivity : Mouse

Description

This gene contains CAG trinucleotide repeats and encodes a protein containing several stretches of polyglutamine residues. The encoded protein may be involved in the regulation of tyrosine kinase receptor signaling. This gene is located in a chromosomal region that was genetically linked to Parkinson disease type 11, and mutations in this gene were thought to be causative for this disease. However, more recent studies in different populations have been unable to replicate this association. Alternative splicing results in multiple transcript variants.

Application Notes

Optimal dilution of the GIGYF2 antibody should be determined by the researcher.

Immunogen

Recombinant human protein (amino acids R413-Y1299) was used as the immunogen for the GIGYF2 antibody.

Storage

After reconstitution, the GIGYF2 antibody can be stored for up to one month at 4oC. For long-term, aliquot and store at -20oC. Avoid repeated freezing and thawing.

Cross
Bulk Quote Request Form
Name*:
Organization*:
Email*:
Phone Number*:
Catalog No.*:
Comments and Specifics(amount, formulation, etc.)*:
Validation code: Captchapackage Image


Can't read the image? click here to refresh.
    *required field

Your bulk quote request has been submitted successfully!

Please contact us if you have any questions.