• Tel: 858.663.9055
  • SeparatorEmail: info@nsjbio.com
  • Tel: 858.663.9055
  • Email: info@nsjbio.com
Home >> Antibodies >> Ghrelin Antibody / GHRL

Ghrelin Antibody / GHRL (RQ6876)

  Catalog No Formulation Size Price (USD)  
Image RQ6876 0.5mg/ml if reconstituted with 0.2ml sterile DI water 100 ug 439
Bulk quote request
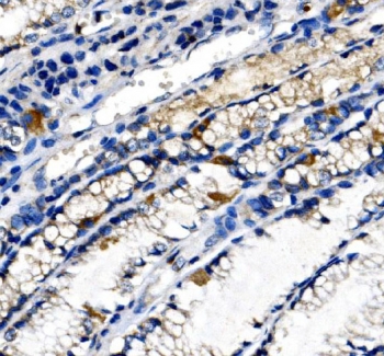
IHC staining of FFPE human gastric cancer tissue with Ghrelin antibody. HIER: boil tissue sections in pH8 EDTA for 20 min and allow to cool before testing.
Availability 1-3 business days
Species Reactivity Human
Format Antigen affinity purified
Clonality Polyclonal (rabbit origin)
Isotype Rabbit IgG
Purity Antigen affinity purified
Buffer Lyophilized from 1X PBS with 2% Trehalose
UniProt Q9UBU3
Applications Immunohistochemistry (FFPE) : 2-5ug/ml
Limitations This Ghrelin antibody is available for research use only.
Review this product on BioCompare and get a $20 Amazon gift card

Related Products

  • Applications : IHC, ICC, ELISA (peptide)
    Reactivity : Human, Rat
  • Applications : WB
    Reactivity : Human

Description

This gene encodes the ghrelin-obestatin preproprotein that is cleaved to yield two peptides, ghrelin and obestatin. Ghrelin is a powerful appetite stimulant and plays an important role in energy homeostasis. Its secretion is initiated when the stomach is empty, whereupon it binds to the growth hormone secretagogue receptor in the hypothalamus which results in the secretion of growth hormone (somatotropin). Ghrelin is thought to regulate multiple activities, including hunger, reward perception via the mesolimbic pathway, gastric acid secretion, gastrointestinal motility, and pancreatic glucose-stimulated insulin secretion. It was initially proposed that obestatin plays an opposing role to ghrelin by promoting satiety and thus decreasing food intake, but this action is still debated. Recent reports suggest multiple metabolic roles for obestatin, including regulating adipocyte function and glucose metabolism. Alternative splicing results in multiple transcript variants. In addition, antisense transcripts for this gene have been identified and may potentially regulate ghrelin-obestatin preproprotein expression.,Amino acids QRKESKKPPAKLQPR from the human protein were used as the immunogen for the Ghrelin antibody.,After reconstitution

Application Notes

Optimal dilution of the Ghrelin antibody should be determined by the researcher.

Immunogen

the Ghrelin antibody can be stored for up to one month at 4oC. For long-term

Storage

aliquot and store at -20oC. Avoid repeated freezing and thawing.

Cross
Bulk Quote Request Form
Name*:
Organization*:
Email*:
Phone Number*:
Catalog No.*:
Comments and Specifics(amount, formulation, etc.)*:
Validation code: Captchapackage Image


Can't read the image? click here to refresh.
    *required field

Your bulk quote request has been submitted successfully!

Please contact us if you have any questions.