• Tel: 858.663.9055
  • SeparatorEmail: info@nsjbio.com
  • Tel: 858.663.9055
  • Email: info@nsjbio.com
Home >> Antibodies >> GFRP Antibody / GCHFR

GFRP Antibody / GCHFR [clone GCHFR/7731] (V4384)

  Catalog No Formulation Size Price (USD)  
Image V4384-100UG 0.2 mg/ml in 1X PBS with 0.1 mg/ml BSA (US sourced), 0.05% sodium azide 100 ug 539
Image
V4384-20UG 0.2 mg/ml in 1X PBS with 0.1 mg/ml BSA (US sourced), 0.05% sodium azide 20 ug 249
Image
V4384SAF-100UG 1 mg/ml in 1X PBS; BSA free, sodium azide free 100 ug 539
Bulk quote request
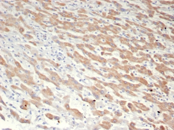
IHC staining of FFPE human liver in HCC with GFRP antibody (clone GCHFR/7731). HIER: boil tissue sections in pH 9 10mM Tris with 1mM EDTA for 20 min and allow to cool before testing.
SDS-PAGE analysis of purified, BSA-free GFRP antibody (clone GCHFR/7731) as confirmation of integrity and purity.
Availability 1-3 business days
Species Reactivity Human
Format Purified
Clonality Monoclonal (mouse origin)
Isotype Mouse IgG2, kappa
Clone Name GCHFR/7731
Purity Protein A/G affinity
UniProt P30047
Localization Cytoplasm (Lysosome)
Applications Immunohistochemistry (FFPE) : 1-2ug/ml for 30 minutes at RT
Limitations This GFRP antibody is available for research use only.
Review this product on BioCompare and get a $20 Amazon gift card

Related Products

Description

GTP cyclohydrolase I feedback regulatory protein (GFRP) is encoded by the gene GCHFR. GFRP mediates feedback inhibition of GTP cyclohydrolase I activity by tetrahydrobiopterin. GFRP also acts as a mediator for the stimulatory effect of phenylalanine on enzyme activity. L-phenylalanine reverses this inhibition. Cross-linking experiments have shown that GFRP is usually expressed as a homodimer or pentamer.

Application Notes

Optimal dilution of the GFRP antibody should be determined by the researcher.

Immunogen

A recombinant fragment of human protein was used as the immunogen for the GCHFR antibody.

Storage

Aliquot the GFRP antibody and store frozen at -20oC or colder. Avoid repeated freeze-thaw cycles.

Cross
Bulk Quote Request Form
Name*:
Organization*:
Email*:
Phone Number*:
Catalog No.*:
Comments and Specifics(amount, formulation, etc.)*:
Validation code: Captchapackage Image


Can't read the image? click here to refresh.
    *required field

Your bulk quote request has been submitted successfully!

Please contact us if you have any questions.