• Tel: 858.663.9055
  • SeparatorEmail: info@nsjbio.com
  • Tel: 858.663.9055
  • Email: info@nsjbio.com
Home >> Antibodies >> Geminin Antibody / GMNN

Geminin Antibody / GMNN (RQ6557)

  Catalog No Formulation Size Price (USD)  
Image RQ6557 0.5mg/ml if reconstituted with 0.2ml sterile DI water 100 ug 439
Bulk quote request
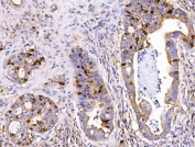
IHC staining of FFPE human lung cancer tissue with Geminin antibody. HIER: boil tissue sections in pH8 EDTA for 20 min and allow to cool before testing.
IHC staining of FFPE human gall bladder adenosquamous carcinoma tissue with Geminin antibody. HIER: boil tissue sections in pH8 EDTA for 20 min and allow to cool before testing.
IHC staining of FFPE human gall bladder adenosquamous carcinoma tissue with Geminin antibody. HIER: boil tissue sections in pH8 EDTA for 20 min and allow to cool before testing.
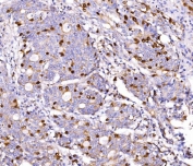
IHC staining of FFPE human rectal cancer tissue with Geminin antibody. HIER: boil tissue sections in pH8 EDTA for 20 min and allow to cool before testing.
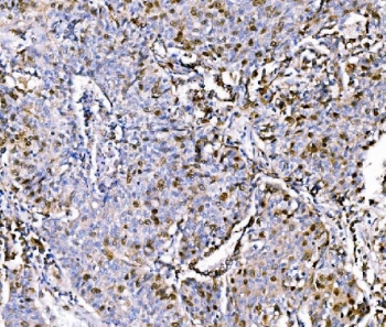
IHC staining of FFPE human laryngeal squamous cell carcinoma tissue with Geminin antibody. HIER: boil tissue sections in pH8 EDTA for 20 min and allow to cool before testing.
Immunofluorescent staining of FFPE human Caco-2 cells with Geminin antibody (green) and DAPI nuclear stain (blue). HIER: steam section in pH6 citrate buffer for 20 min.
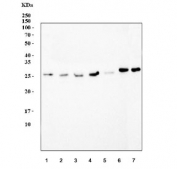
Western blot testing of human 1) Jurkat, 2) HepG2, 3) K562, 4) HEL, 5) Caco-2, 6) HL60 and 7) mouse SP2/0 cell lysate with Geminin antibody. Predicted molecular weight: 25-35 kDa.
Flow cytometry testing of human A431 cells with Geminin antibody at 1ug/million cells (blocked with goat sera); Red=cells alone, Green=isotype control, Blue= Geminin antibody.
Availability 1-3 business days
Species Reactivity Human, Mouse
Format Antigen affinity purified
Clonality Polyclonal (rabbit origin)
Isotype Rabbit IgG
Purity Affinity purified
Buffer Lyophilized from 1X PBS with 2% Trehalose
UniProt O75496
Localization Cytoplasmic, nuclear
Applications Western Blot : 1-2ug/ml
Immunohistochemistry (FFPE) : 2-5ug/ml
Immunofluorescence : 5ug/ml
Flow Cytometry : 1-3ug/million cells
Direct ELISA : 0.1-0.5ug/ml
Limitations This Geminin antibody is available for research use only.
Review this product on BioCompare and get a $20 Amazon gift card

Related Products

Description

Geminin, DNA replication inhibitor, also known as GMNN, is a protein in humans encoded by the GMNN gene. This gene encodes a protein that plays a critical role in cell cycle regulation. The encoded protein inhibits DNA replication by binding to DNA replication factor Cdt1, preventing the incorporation of minichromosome maintenance proteins into the pre-replication complex. The encoded protein is expressed during the S and G2 phases of the cell cycle and is degraded by the anaphase-promoting complex during the metaphase-anaphase transition. Increased expression of this gene may play a role in several malignancies including colon, rectal and breast cancer. Alternatively spliced transcript variants have been observed for this gene, and two pseudogenes of this gene are located on the short arm of chromosome 16.

Application Notes

Optimal dilution of the Geminin antibody should be determined by the researcher.

Immunogen

An E. coli-derived human protein (amino acids V21-E196) was used as the immunogen for the Geminin antibody.

Storage

After reconstitution, the Geminin antibody can be stored for up to one month at 4oC. For long-term, aliquot and store at -20oC. Avoid repeated freezing and thawing.

Cross
Bulk Quote Request Form
Name*:
Organization*:
Email*:
Phone Number*:
Catalog No.*:
Comments and Specifics(amount, formulation, etc.)*:
Validation code: Captchapackage Image


Can't read the image? click here to refresh.
    *required field

Your bulk quote request has been submitted successfully!

Please contact us if you have any questions.