• Tel: 858.663.9055
  • SeparatorEmail: info@nsjbio.com
  • Tel: 858.663.9055
  • Email: info@nsjbio.com
Home >> Antibodies >> Gelsolin Antibody

Gelsolin Antibody (R31221)

  Catalog No Formulation Size Price (USD)  
Image R31221 0.5mg/ml if reconstituted with 0.2ml sterile DI water 100 ug 439
Bulk quote request
Western blot testing of 1) human HeLa, 2) (h) THP1, 3) (h) A549, 4) monkey COS-7, 5) (h) Caco-2, 6) (h) K562 and 7) (h) HL-60 lysate with Gelsolin antibody at 0.5ug/ml. Predicted molecular weight ~86 kDa.
IHC-P: Gelsolin antibody testing of human intestine cancer tissue. HIER: steamed with pH6 citrate buffer.
IHC-P: Gelsolin antibody testing of human lung cancer tissue. HIER: steamed with pH6 citrate buffer.
ICC testing of Gelsolin antibody and mouse NIH3T3 cells. HIER: steamed with pH6 citrate buffer.
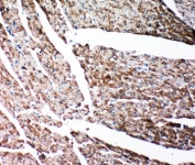
IHC-P: Gelsolin antibody testing of rat heart tissue. HIER: steamed with pH6 citrate buffer.
Availability 1-3 business days
Species Reactivity Human, Mouse, Rat
Format Antigen affinity purified
Clonality Polyclonal (rabbit origin)
Isotype Rabbit IgG
Purity Antigen affinity
Buffer Lyophilized from 1X PBS with 2.5% BSA and 0.025% sodium azide/thimerosal
UniProt P06396
Applications Western Blot : 0.5-1ug/ml
IHC (FFPE) : 0.5-1ug/ml
Immunocytochemistry : 0.5-1ug/ml
Limitations This Gelsolin antibody is available for research use only.
Review this product on BioCompare and get a $20 Amazon gift card

Related Products

Description

Gelsolin also known as GNS is an actin-binding protein that is a key regulator of actin filament assembly and disassembly. It is one of the most potent members of the actin-severing gelsolin/villin superfamily. The gene was assigned to human chromosome 9q33.2. Gelsolin is also known as brevin, or actin-depolymerizing factor; it is the principal intracellular and extracellular actin-severing protein. Gelsolin and Gc protein together constitute the extracellular actin-scavenger system which prevents the toxic effects of actin release into the extracellular space under circumstances of cell necrosis. It may have therapeutic potential as a mucolytic agent in CF patients. The antiapoptotic activity of Gelsolin seems to prevent a step leading to cytochrome c release from the mitochondria into the cytosol.

Application Notes

The stated application concentrations are suggested starting amounts. Titration of the Gelsolin antibody may be required due to differences in protocols and secondary/substrate sensitivity.

Immunogen

Amino acids 763-775 (WDDDYWSVDPLDR-human) were used as the immunogen for this Gelsolin antibody (100% rat homology).

Storage

After reconstitution, the Gelsolin antibody can be stored for up to one month at 4oC. For long-term, aliquot and store at -20oC. Avoid repeated freezing and thawing.

Cross
Bulk Quote Request Form
Name*:
Organization*:
Email*:
Phone Number*:
Catalog No.*:
Comments and Specifics(amount, formulation, etc.)*:
Validation code: Captchapackage Image


Can't read the image? click here to refresh.
    *required field

Your bulk quote request has been submitted successfully!

Please contact us if you have any questions.