• Tel: 858.663.9055
  • SeparatorEmail: info@nsjbio.com
  • Tel: 858.663.9055
  • Email: info@nsjbio.com
Home >> Antibodies >> Gelsolin Antibody

Gelsolin Antibody [clone GS-2C4] (R30038)

  Catalog No Formulation Size Price (USD)  
Image R30038 0.5mg/ml with 1% BSA and 0.01% sodium azide if reconstituted with 0.2ml sterile 1X PBS 100 ug 439
Bulk quote request
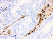
IHC testing of FFPE human lung cancer tissue with Gelsolin antibody. HIER: steamed with pH6 citrate buffer, HRP-staining.
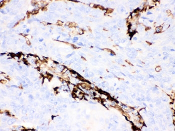
IHC testing of FFPE human intestinal cancer tissue with Gelsolin antibody. HIER: steamed with pH6 citrate buffer, HRP-staining.
Availability 1-3 business days
Species Reactivity Human, Rabbit
Format Ascites
Clonality Monoclonal (mouse origin)
Isotype Mouse IgG1
Clone Name GS-2C4
Purity Ascites
Gene ID 2934
Applications Western Blot : 0.5-1ug/ml
IHC (FFPE) : 1-2ug/ml
IHC (Frozen) : 1-2ug/ml for acetone fixed tissues
Limitations This Gelsolin antibody is available for research use only.
Review this product on BioCompare and get a $20 Amazon gift card

Related Products

Description

Gelsolin, a protein of leukocytes, platelets, and other cells, severs actin filaments in the presence of submicromolar calcium, thereby solating cytoplasmic actin gels. A gelsolin variant with 23 more N-terminal amino acids is a plasma component probably involved in the clearance of actin, the most abundant human protein, from the circulation. Gelsolin is located in 9q34. Plasma and cytoplasmic gelsolins are encoded by a single gene and contain a duplicated actin-binding domain.

Application Notes

The stated application concentrations are suggested starting amounts. Titration of the Gelsolin antibody may be required due to differences in protocols and secondary/substrate sensitivity.

Immunogen

Human plasma gelsolin was used as the immunogen for this Gelsolin antibody.

Storage

After reconstitution, the Gelsolin antibody can be stored for up to one month at 4oC. For long-term, aliquot and store at -20oC. Avoid repeated freezing and thawing.

Cross
Bulk Quote Request Form
Name*:
Organization*:
Email*:
Phone Number*:
Catalog No.*:
Comments and Specifics(amount, formulation, etc.)*:
Validation code: Captchapackage Image


Can't read the image? click here to refresh.
    *required field

Your bulk quote request has been submitted successfully!

Please contact us if you have any questions.