• Tel: 858.663.9055
  • SeparatorEmail: info@nsjbio.com
  • Tel: 858.663.9055
  • Email: info@nsjbio.com
Home >> Antibodies >> GDF11 Antibody / BMP11

GDF11 Antibody / BMP11 (F47919)

  Catalog No Formulation Size Price (USD)  
Image F47919-0.4ML In 1X PBS, pH 7.4, with 0.09% sodium azide 0.4 ml 429
Image
F47919-0.08ML In 1X PBS, pH 7.4, with 0.09% sodium azide 0.08 ml 199
Bulk quote request
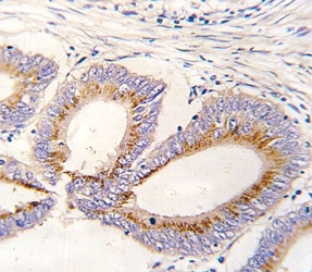
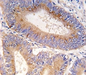
IHC analysis of FFPE human colon carcinoma tissue stained with GDF11 antibody
IHC analysis of FFPE human colon carcinoma tissue stained with GDF11 antibody
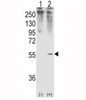
Western blot analysis of GDF11 antibody and 293 cell lysate (2 ug/lane) either nontransfected (Lane 1) or transiently transfected with the GDF11 gene (2).
Availability 1-3 business days
Species Reactivity Human
Format Purified
Clonality Polyclonal (rabbit origin)
Isotype Rabbit Ig
Purity Purified
UniProt O95390
Applications Western Blot : 1:1000
IHC (Paraffin) : 1:10-1:50
Limitations This GDF11 antibody is available for research use only.
Review this product on BioCompare and get a $20 Amazon gift card

Related Products

Description

GDF11 is a member of the bone morphogenetic protein (BMP) family and the TGF-beta superfamily. This group of proteins is characterized by a polybasic proteolytic processing site which is cleaved to produce a mature protein containing seven conserved cysteine residues. The members of this family are regulators of cell growth and differentiation in both embryonic and adult tissues. Studies in mice and Xenopus suggest that this protein is involved in mesodermal formation and neurogenesis during embryonic development.

Application Notes

Titration of the GDF11 antibody may be required due to differences in protocols and secondary/substrate sensitivity.

Immunogen

A portion of amino acids 32-61 from the human protein was used as the immunogen for this GDF11 antibody.

Storage

Aliquot the GDF11 antibody and store frozen at -20oC or colder. Avoid repeated freeze-thaw cycles.

Cross
Bulk Quote Request Form
Name*:
Organization*:
Email*:
Phone Number*:
Catalog No.*:
Comments and Specifics(amount, formulation, etc.)*:
Validation code: Captchapackage Image


Can't read the image? click here to refresh.
    *required field

Your bulk quote request has been submitted successfully!

Please contact us if you have any questions.