• Tel: 858.663.9055
  • SeparatorEmail: info@nsjbio.com
  • Tel: 858.663.9055
  • Email: info@nsjbio.com
Home >> Antibodies >> GDA Antibody / Guanine deaminase

GDA Antibody / Guanine deaminase (RQ4319)

  Catalog No Formulation Size Price (USD)  
Image RQ4319 0.5mg/ml if reconstituted with 0.2ml sterile DI water 100 ug 439
Bulk quote request
Western blot testing of rat 1) brain, 2) liver, 3) small intestine and mouse 4) brain, 5) liver and 6) small intestine lysate with GDA antibody at 0.5ug/ml. Predicted molecular weight ~51 kDa.
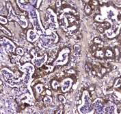
IHC testing of FFPE human colon cancer tissue with GDA antibody at 1ug/ml. Required HIER: steam section in pH6 citrate buffer for 20 min and allow to cool prior to staining.
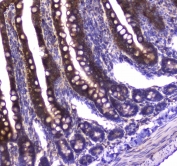
IHC testing of FFPE mouse small intestine tissue with GDA antibody at 1ug/ml. Required HIER: steam section in pH6 citrate buffer for 20 min and allow to cool prior to staining.
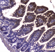
IHC testing of FFPE rat small intestine tissue with GDA antibody at 1ug/ml. Required HIER: steam section in pH6 citrate buffer for 20 min and allow to cool prior to staining.
Availability 1-3 business days
Species Reactivity Human, Mouse, Rat
Format Antigen affinity purified
Clonality Polyclonal (rabbit origin)
Isotype Rabbit IgG
Purity Antigen affinity purified
Buffer Lyophilized from 1X PBS with 2% Trehalose and 0.025% sodium azide
UniProt Q9Y2T3
Localization Cytoplasm, secreted
Applications Western Blot : 0.5-1ug/ml
IHC (FFPE) : 1-2ug/ml
Direct ELISA : 0.1-0.5ug/ml
Limitations This GDA antibody is available for research use only.
Review this product on BioCompare and get a $20 Amazon gift card

Description

Guanine deaminase also known as cypin, guanase, guanine aminase, GAH, and guanine aminohydrolase is an aminohydrolase enzyme which converts guanine to xanthine. This gene is mapped to 9q21.13. Studies in rat ortholog suggest this gene plays a role in microtubule assembly. Multiple transcript variants encoding different isoforms have been found for this gene.

Application Notes

Optimal dilution of the GDA antibody should be determined by the researcher.

Immunogen

A recombinant human protein corresponding to amino acids E220-Q446 was used as the immunogen for the GDA antibody.

Storage

After reconstitution, the GDA antibody can be stored for up to one month at 4oC. For long-term, aliquot and store at -20oC. Avoid repeated freezing and thawing.

Cross
Bulk Quote Request Form
Name*:
Organization*:
Email*:
Phone Number*:
Catalog No.*:
Comments and Specifics(amount, formulation, etc.)*:
Validation code: Captchapackage Image


Can't read the image? click here to refresh.
    *required field

Your bulk quote request has been submitted successfully!

Please contact us if you have any questions.