• Tel: 858.663.9055
  • SeparatorEmail: info@nsjbio.com
  • Tel: 858.663.9055
  • Email: info@nsjbio.com
Home >> Antibodies >> GCSAM Antibody / HGAL / GCET2

GCSAM Antibody / HGAL / GCET2 [clone HGAL/2373] (V9452)

  Catalog No Formulation Size Price (USD)  
Image V9452-100UG 0.2 mg/ml in 1X PBS with 0.1 mg/ml BSA (US sourced), 0.05% sodium azide 100 ug 539
Image
V9452-20UG 0.2 mg/ml in 1X PBS with 0.1 mg/ml BSA (US sourced), 0.05% sodium azide 20 ug 249
Image
V9452SAF-100UG 1 mg/ml in 1X PBS; BSA free, sodium azide free 100 ug 539
Microvalidated
Bulk quote request
Analysis of HuProt(TM) microarray containing more than 19,000 full-length human proteins using GCSAM antibody (clone HGAL/2373). These results demonstrate the foremost specificity of the HGAL/2373 mAb. Z- and S- score: The Z-score represents the strength of a signal that an antibody (in combination with a fluorescently-tagged anti-IgG secondary Ab) produces when binding to a particular protein on the HuProt(TM) array. Z-scores are described in units of standard deviations (SD's) above the mean value of all signals generated on that array. If the targets on the HuProt(TM) are arranged in descending order of the Z-score, the S-score is the difference (also in units of SD's) between the Z-scores. The S-score therefore represents the relative target specificity of an Ab to its intended target.
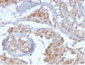
IHC staining of FFPE human testis tissue with GCSAM antibody (clone HGAL/2373). HIER: boil tissue sections in pH 9 10mM Tris with 1mM EDTA for 20 min and allow to cool before testing.
SDS-PAGE analysis of purified, BSA-free GCSAM antibody (clone HGAL/2373) as confirmation of integrity and purity.
Availability 1-3 business days
Species Reactivity Human
Format Purified
Clonality Monoclonal (mouse origin)
Isotype Mouse IgG2b, kappa
Clone Name HGAL/2373
Purity Protein A/G affinity
UniProt Q8N6F7
Localization Cytoplasm, Cell membrane
Applications Immunohistochemistry (FFPE) : 1-2ug/ml
Limitations This GCSAM antibody is available for research use only.
Review this product on BioCompare and get a $20 Amazon gift card

Related Products

Description

HGAL/GCSAM contains a putative PDZ-interacting domain, an immunoreceptor tyrosine-based activation motif (ITAM), and two putative SH2 binding sites. In B cells, its expression is specifically induced by interleukin-4. HGAL is specifically expressed in germinal center B-cells, but is absent in mantle and marginal zone B-cells and in the inter-follicular and para-cortical regions in normal tonsils and lymph nodes. Its high degree of specificity for germinal center B-cells makes anti-HGAL an ideal marker for the detection of germinal center-derived B-cell lymphomas. HGAL expression has been used to help elucidate nodal marginal zone lymphoma (NMZL) from cases of diffuse follicle center lymphoma. Additionally, HGAL expression was shown to correlate with survival in patients with diffuse large B-cell lymphoma (DLBCL).

Application Notes

Optimal dilution of the GCSAM antibody should be determined by the researcher.

Immunogen

A portion of amino acids 1-200 was used as the immunogen for the GCSAM antibody.

Storage

Aliquot the GCSAM antibody and store frozen at -20oC or colder. Avoid repeated freeze-thaw cycles.

Cross
Bulk Quote Request Form
Name*:
Organization*:
Email*:
Phone Number*:
Catalog No.*:
Comments and Specifics(amount, formulation, etc.)*:
Validation code: Captchapackage Image


Can't read the image? click here to refresh.
    *required field

Your bulk quote request has been submitted successfully!

Please contact us if you have any questions.