• Tel: 858.663.9055
  • SeparatorEmail: info@nsjbio.com
  • Tel: 858.663.9055
  • Email: info@nsjbio.com
Home >> Antibodies >> GCLC Antibody

GCLC Antibody (R31614)

  Catalog No Formulation Size Price (USD)  
Image R31614 0.5mg/ml if reconstituted with 0.2ml sterile DI water 100 ug 439
Bulk quote request
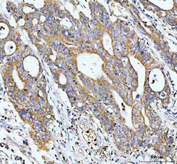
IHC staining of FFPE human colorectal cancer tissue with GCLC antibody. HIER: boil tissue sections in pH8 EDTA for 20 min and allow to cool before testing.
Western blot testing of 1) A549, 2) RT4, 3) HepG2, 4) A431, 5) rat liver, 6) rat kidney, 7) mouse liver and 8) mouse kidney tissue lysate with GCLC antibody. Predicted molecular weight ~72 kDa.
Flow cytometry testing of fixed and permeabilized human A549 cells with GCLC antibody at 1ug/million cells (blocked with goat sera); Red=cells alone, Green=isotype control, Blue= GCLC antibody.
Availability 1-3 business days
Species Reactivity Human, Mouse, Rat
Format Antigen affinity purified
Clonality Polyclonal (rabbit origin)
Isotype Rabbit IgG
Purity Antigen affinity
Buffer Lyophilized from 1X PBS with 2% Trehalose
UniProt P48506
Applications Western Blot : 0.5-1ug/ml
Immunohistochemistry (FFPE) : 2-5ug/ml
Flow Cytometry : 1-3ug/million cells
Limitations This GCLC antibody is available for research use only.
Review this product on BioCompare and get a $20 Amazon gift card

Related Products

Description

Glutamate-cysteine ligase catalytic subunit is an enzyme that in humans is encoded by the GCLC gene. Glutamate-cysteine ligase, also known as gamma-glutamylcysteine synthetase is the first rate limiting enzyme of glutathione synthesis. The enzyme consists of two subunits, a heavy catalytic subunit and a light regulatory subunit. The gene encoding the catalytic subunit encodes a protein of 367 amino acids with a calculated molecular weight of 72.773 kDa and maps to chromosome 6p12.1. Deficiency of gamma-glutamylcysteine synthetase in human is associated with enzymopathic hemolytic anemia.

Application Notes

The stated application concentrations are suggested starting amounts. Titration of the GCLC antibody may be required due to differences in protocols and secondary/substrate sensitivity.

Immunogen

Human partial recombinant protein (AA 437-637) was used as the immunogen for this GCLC antibody.

Storage

After reconstitution, the GCLC antibody can be stored for up to one month at 4oC. For long-term, aliquot and store at -20oC. Avoid repeated freezing and thawing.

Cross
Bulk Quote Request Form
Name*:
Organization*:
Email*:
Phone Number*:
Catalog No.*:
Comments and Specifics(amount, formulation, etc.)*:
Validation code: Captchapackage Image


Can't read the image? click here to refresh.
    *required field

Your bulk quote request has been submitted successfully!

Please contact us if you have any questions.