• Tel: 858.663.9055
  • SeparatorEmail: info@nsjbio.com
  • Tel: 858.663.9055
  • Email: info@nsjbio.com
Home >> Antibodies >> GCLC Antibody

GCLC Antibody (R30565)

  Catalog No Formulation Size Price (USD)  
Image R30565 0.5mg/ml if reconstituted with 0.2ml sterile DI water 100 ug 439
Bulk quote request
Western blot testing of GCLC antibody and Lane 1: rat brain; 2: rat kidney; 3: rat heart; 4: rat lung tissue lysate
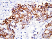
IHC-P: GCLC antibody testing of human rectal cancer tissue
Availability 1-3 business days
Species Reactivity Human, Mouse, Rat
Format Antigen affinity purified
Clonality Polyclonal (rabbit origin)
Isotype Rabbit IgG
Purity Antigen affinity
Buffer Lyophilized from 1X PBS with 2.5% BSA and 0.025% sodium azide/thimerosal
UniProt P48506
Applications Western Blot : 0.5-1ug/ml
IHC (FFPE) : 0.5-1ug/ml
Limitations This GCLC antibody is available for research use only.
Review this product on BioCompare and get a $20 Amazon gift card

Related Products

  • Applications : WB, IHC-P, FACS
    Reactivity : Human, Mouse, Rat
  • Applications : WB, IHC, IF, FACS, ELISA
    Reactivity : Human
  • Applications : WB, ELISA
    Reactivity : Human, Mouse
    Pred. Reactivity : Rat

Description

Glutamate--cysteine ligase catalytic subunit, is an enzyme that in humans is encoded by the GCLC gene. Glutamate-cysteine ligase, also known as gamma-glutamylcysteine synthetase is the first rate limiting enzyme of glutathione synthesis. The enzyme consists of two subunits, a heavy catalytic subunit and a light regulatory subunit. The gene encoding the catalytic subunit encodes a protein of 367 amino acids with a calculated molecular weight of 72.773 kDa and maps to chromosome 6p12.1. Deficiency of gamma-glutamylcysteine synthetase in human is associated with enzymopathic hemolytic anemia.

Application Notes

The stated application concentrations are suggested starting amounts. Titration of the GCLC antibody may be required due to differences in protocols and secondary/substrate sensitivity.

Immunogen

An amino acid sequence from the N-terminus of human GCLC (GSPLSWEETKRHADHVRR) was used as the immunogen for this GCLC antibody.

Storage

After reconstitution, the GCLC antibody can be stored for up to one month at 4oC. For long-term, aliquot and store at -20oC. Avoid repeated freezing and thawing.

Cross
Bulk Quote Request Form
Name*:
Organization*:
Email*:
Phone Number*:
Catalog No.*:
Comments and Specifics(amount, formulation, etc.)*:
Validation code: Captchapackage Image


Can't read the image? click here to refresh.
    *required field

Your bulk quote request has been submitted successfully!

Please contact us if you have any questions.