• Tel: 858.663.9055
  • SeparatorEmail: info@nsjbio.com
  • Tel: 858.663.9055
  • Email: info@nsjbio.com
Home >> Antibodies >> GCHFR Antibody

GCHFR Antibody (RQ6178)

  Catalog No Formulation Size Price (USD)  
Image RQ6178 0.5mg/ml if reconstituted with 0.2ml sterile DI water 100 ug 439
Bulk quote request
IHC staining of FFPE human tonsil with GCHFR antibody. HIER: boil tissue sections in pH8 EDTA for 20 min and allow to cool before testing.
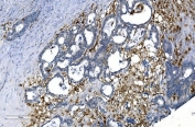
IHC staining of FFPE human rectal cancer with GCHFR antibody. HIER: boil tissue sections in pH8 EDTA for 20 min and allow to cool before testing.
IHC staining of FFPE human prostate cancer with GCHFR antibody. HIER: boil tissue sections in pH8 EDTA for 20 min and allow to cool before testing.
IHC staining of FFPE mouse liver with GCHFR antibody. HIER: boil tissue sections in pH8 EDTA for 20 min and allow to cool before testing.
Immunofluorescent staining of FFPE human Caco-2 cells with GCHFR antibody (green) and DAPI nuclear stain (blue). HIER: steam section in pH6 citrate buffer for 20 min.
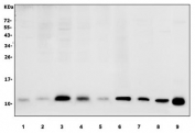
Western blot testing of human 1) HEK293, 2) K562, 3) HepG2, 4) Caco-2, 5) HeLa, 6) U937, 7) PC-3, 8) rat liver and 9) mouse liver lysate with GCHFR antibody. Predicted molecular weight ~12 kDa.
Flow cytometry testing of human HL60 cells with GCHFR antibody at 1ug/million cells (blocked with goat sera); Red=cells alone, Green=isotype control, Blue= GCHFR antibody.
Availability 1-3 business days
Species Reactivity Human, Mouse, Rat
Format Antigen affinity purified
Clonality Polyclonal (rabbit origin)
Isotype Rabbit IgG
Purity Affinity purified
Buffer Lyophilized from 1X PBS with 2% Trehalose and 0.0125% sodium azide
UniProt P30047
Localization Cytoplasmic, nuclear
Applications Western Blot : 1-2ug/ml
Immunohistochemistry (FFPE) : 2-5ug/ml
Flow Cytometry : 1-3ug/million cells
Immunofluorescence : 5ug/ml
Direct ELISA : 0.1-0.5ug/ml
Limitations This GCHFR antibody is available for research use only.
Review this product on BioCompare and get a $20 Amazon gift card

Related Products

Description

GTP cyclohydrolase 1 feedback regulatory protein is an enzyme that in humans is encoded by the GCHFR gene. GTP cyclohydrolase I feedback regulatory protein binds to and mediates tetrahydrobiopterin inhibition of GTP cyclohydrolase I. The regulatory protein, GCHFR, consists of a homodimer. It is postulated that GCHFR may play a role in regulating phenylalanine metabolism in the liver and in the production of biogenic amine neurotransmitters and nitric oxide.

Application Notes

Optimal dilution of the GCHFR antibody should be determined by the researcher.

Immunogen

A human recombinant partial protein (amino acids P2-E84) was used as the immunogen for the GCHFR antibody.

Storage

After reconstitution, the GCHFR antibody can be stored for up to one month at 4oC. For long-term, aliquot and store at -20oC. Avoid repeated freezing and thawing.

Cross
Bulk Quote Request Form
Name*:
Organization*:
Email*:
Phone Number*:
Catalog No.*:
Comments and Specifics(amount, formulation, etc.)*:
Validation code: Captchapackage Image


Can't read the image? click here to refresh.
    *required field

Your bulk quote request has been submitted successfully!

Please contact us if you have any questions.